
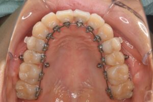
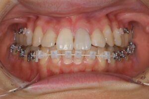
舌側矯正(リンガルブラケット)は、歯の裏側(舌側)に矯正装置を装着する方法です。
正面から見ても装置がほとんど見えないため、矯正中であることが周囲に気付かれにくいのが大きな特徴です。人前に出る機会が多い方や、見た目を重視したい方に選ばれることが多い治療法です。
<当院での舌側矯正の傾向>
くらたやま矯正歯科では、上下とも舌側矯正を希望される方は多くありません。
多くの方は「見えやすい上の歯だけ舌側矯正にし、下の歯は通常の表側装置にする」という方法を選ばれます。

その理由としては以下が挙げられます。
- 費用面:舌側矯正は表側装置よりも料金が高くなります。片側のみ舌側にするとプラス料金、上下とも舌側にするとさらに費用がかかります。
- 違和感の強さ:上下とも舌側にすると舌に触れる面積が増え、発音や飲み込みに影響が出やすく、強い異物感を感じやすくなります。
<舌側矯正のメリット>
- 装置が見えにくいため、人前でも口元の見た目を気にせず過ごせます。
- 結婚式や就職活動など、見た目の印象を大切にしたいイベント時にも安心。
<舌側矯正のデメリット>
- 表側矯正よりも治療費が高い。
- 舌に装置が触れるため、発音しづらさや舌の違和感が強く出やすい。
- 表側矯正と比べて、初期の慣れるまでの期間がやや長くなる場合があります。
くらたやま矯正歯科での舌側矯正の選び方
当院では、歯並びや噛み合わせの状態によっては舌側矯正が難しい場合もありますが、患者様のライフスタイルやご予算、見た目の希望をお伺いし、「上だけ舌側・下は表側」というハーフリンガルタイプから、上下とも舌側のフルリンガルタイプまで幅広くご提案しています。
見た目の優先度、違和感の許容度、費用面のバランスを考えながら、最適な方法を一緒に決めていきましょう。
まとめ
舌側矯正は、見た目を気にせず矯正治療を進められる魅力的な方法ですが、費用や違和感といったデメリットもあります。
くらたやま矯正歯科では、患者様一人ひとりのご希望や生活スタイルを踏まえた治療方法をご提案しています。気になる方は、まずは無料相談でお気軽にご相談ください。




