症例検索
| 主訴 | 右下の歯が飛び出ているので治したい。 |
|---|---|
| 診断名・主な症状 | 過蓋咬合 |
| 年齢 | 5歳 |
| 治療内容 | 上下の歯並びの幅を拡げつつ、前歯の関係を改善しました。 |
| 使用装置 | 急速拡大装置 リンガルアーチ 機能的矯正装置(マイオブレース) |
| 抜歯部位 | 抜歯なし |
| 治療期間 | 2年 + 後戻り止め期間(5年) |
| 通院回数 | 25回 |
| 費用 | 50万円程度(税別) 26987 |
| リスク・副作用 | 痛み、歯肉退縮、歯根吸収、抜歯に伴う出血や腫れが生じることがあります。 |
| 主訴 | 通っている歯医者で矯正した方がいいと言われて気になっている。下の前歯がでこぼこしている。 |
|---|---|
| 診断名・主な症状 | 下顎前歯の叢生を伴う過蓋咬合 |
| 年齢 | 7歳 |
| 治療内容 | 上下の歯並びの幅を拡げつつ、前歯の関係を改善しました。 |
| 使用装置 | 急速拡大装置 リンガルアーチ 機能的矯正装置(マイオブレース) |
| 抜歯部位 | 抜歯なし |
| 治療期間 | 2年 + 後戻り止め期間(3年 ) |
| 通院回数 | 20回 |
| 費用 | 50万円程度(税別) 29331 |
| リスク・副作用 | 痛み、歯肉退縮、歯根吸収、抜歯に伴う出血や腫れが生じることがあります。 |
| 主訴 | 噛み合わせが深いと歯医者で言われたので治したい。 |
|---|---|
| 診断名・主な症状 | 過蓋咬合 |
| 年齢 | 7歳 |
| 治療内容 | 上下の歯並びの幅を拡げつつ、前歯の関係を改善しました。 |
| 使用装置 | 急速拡大装置 マルチブラケット装置 |
| 抜歯部位 | 抜歯なし |
| 治療期間 | 2年 + 後戻り止め期間(3年) |
| 通院回数 | 15回 |
| 費用 | 50万円程度(税別) |
| リスク・副作用 | 痛み、歯肉退縮、歯根吸収、抜歯に伴う出血や腫れが生じることがあります。 |
| 主訴 | 受け口を治したい。 |
|---|---|
| 診断名・主な症状 | 下顎前突 |
| 年齢 | 5歳 |
| 治療内容 | 上顎を横に拡げつつ、下顎の成長を抑えました。 |
| 抜歯部位 | 急速拡大装置 リンガルアーチ チンキャップ |
| 治療期間 | 3年 + 後戻り止め期間(5年) |
| 通院回数 | 27回 |
| 費用 | 53万円程度(税別) 33330 |
| リスク・副作用 | 痛み、歯肉退縮、歯根吸収、抜歯に伴う出血や腫れが生じることがあります。 |
| 主訴 | 前歯の隙間が気になる。 |
|---|---|
| 診断名・主な症状 | 左側犬歯のクロスバイトを伴う空隙歯列 |
| 年齢 | 22歳 |
| 治療内容 | 上の歯のスペースを閉じつつ、下の歯を後ろに下げました。 |
| 使用装置 | マウスピース矯正装置(インビザライン) |
| 抜歯部位 | 抜歯なし |
| 治療期間 | 1年10ヶ月 |
| 通院回数 | 14回 |
| 費用 | 86万円程度(税別) |
| リスク・副作用 | 痛み、歯肉退縮、歯根吸収、抜歯に伴う出血や腫れが生じることがあります。 |
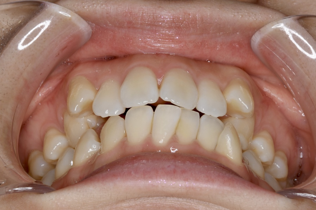
治療中 正面
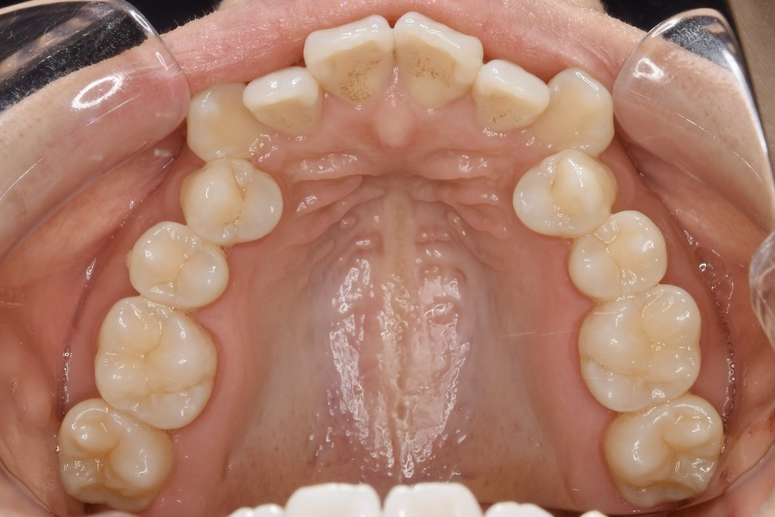
上あご 内側
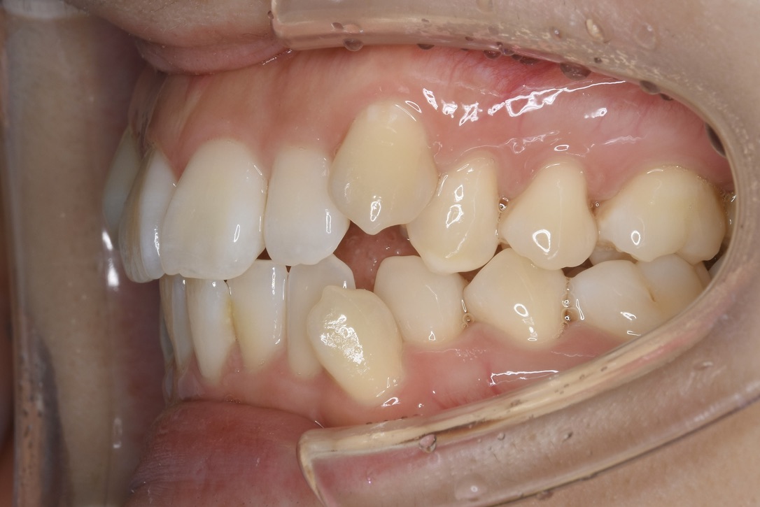
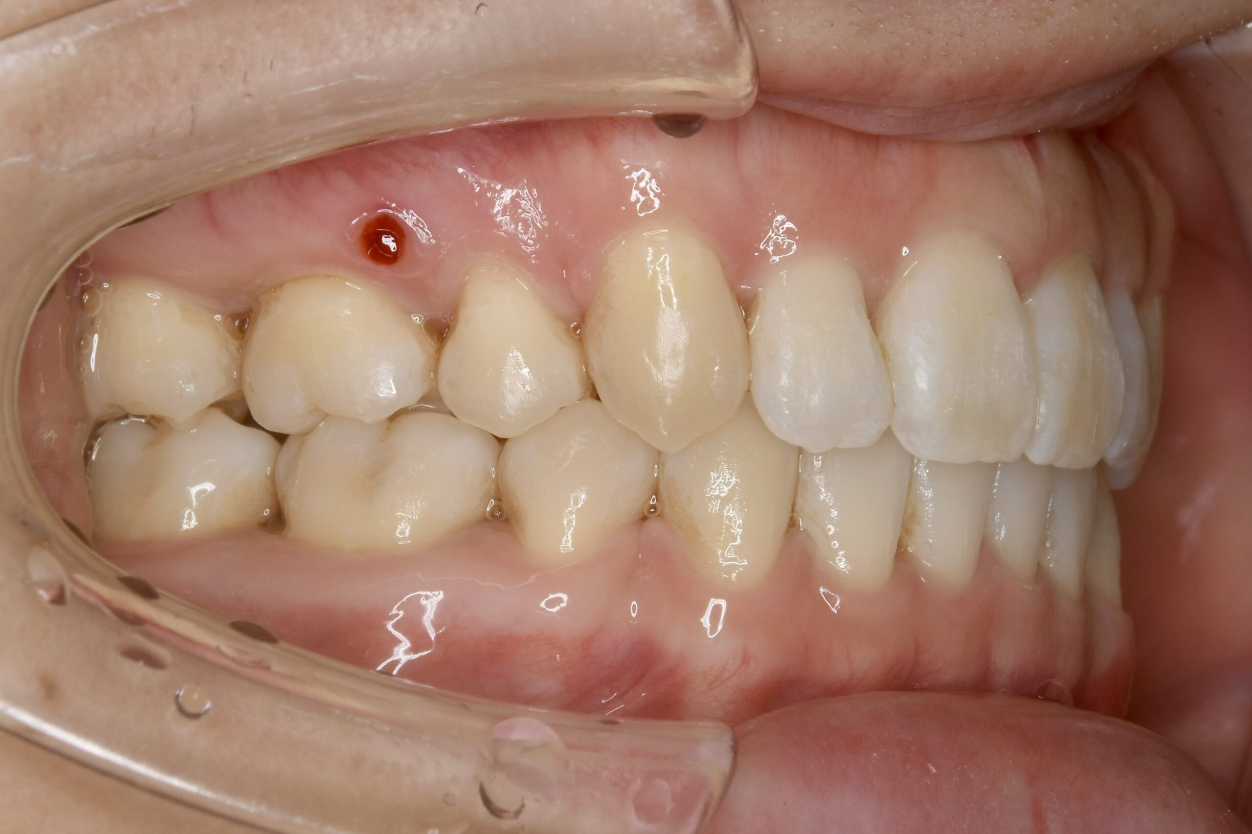
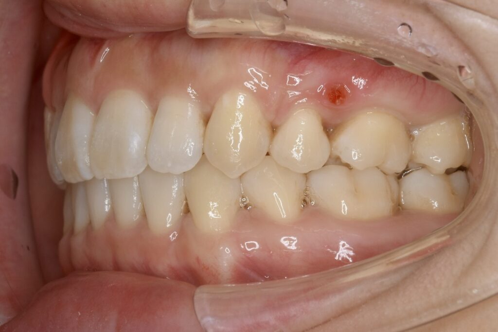
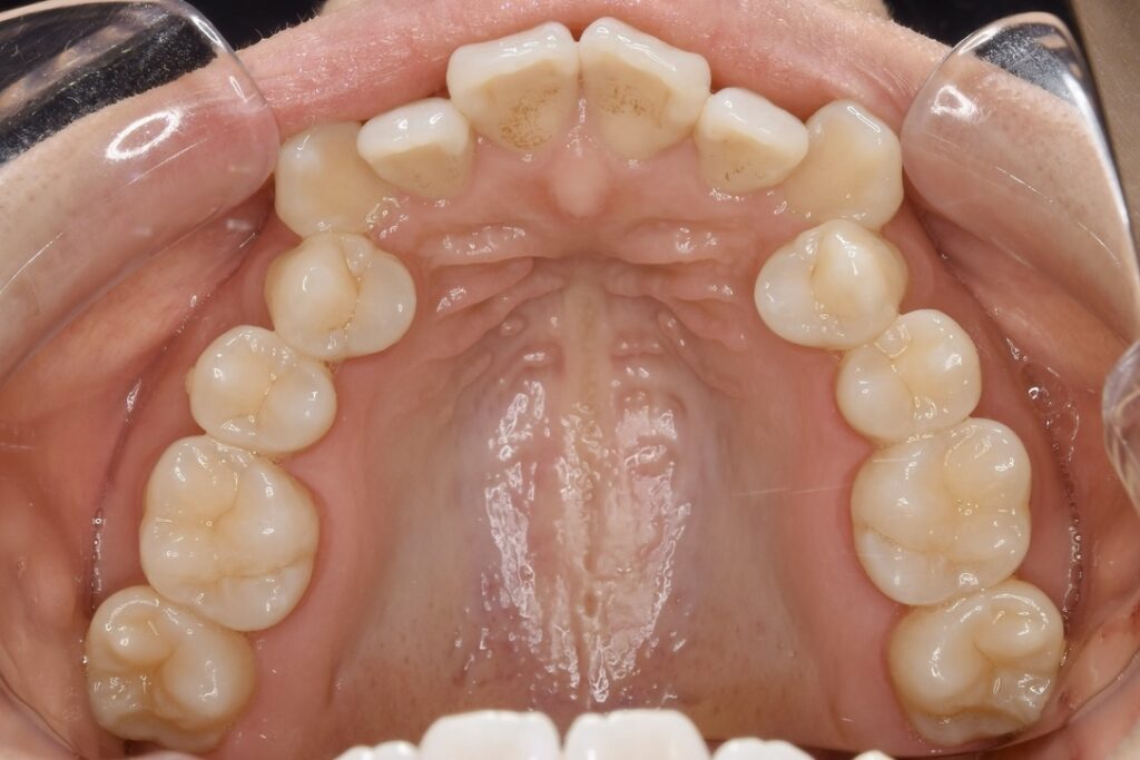
| 主訴 | 上の歯が前に出ている気がして気になる。 |
|---|---|
| 診断名・主な症状 | 叢生 |
| 年齢 | 23歳 |
| 治療内容 | 上の奥歯を後ろに引くことでできたスペースを利用して前歯のデコボコを解消しました。 |
| 使用装置 | 舌側矯正(ワイヤー) 表側矯正(ワイヤー) 矯正用ミニインプラント |
| 抜歯部位 | 抜歯なし |
| 治療期間 | 1年9ヶ月 |
| 通院回数 | 24回 |
| 費用 | 120万円程度(税別) 231 |
| リスク・副作用 | 痛み、歯肉退縮、歯根吸収、抜歯に伴う出血や腫れが生じることがあります。 |
1
マウスピース装着時
| 主訴 | 上も下も歯並びがガタガタしているので治したい。 |
|---|---|
| 診断名・主な症状 | 叢生 |
| 年齢 | 18歳 |
| 治療内容 | 上下とも歯並びの横幅を広げながら、でこぼこを解消しました。 |
| 使用装置 | マウスピース矯正装置(インビザライン) |
| 抜歯部位 | 抜歯なし |
| 治療期間 | 1年4ヶ月 |
| 通院回数 | 10回 |
| 費用 |
86万円程度(税別) 33990 |
| リスク・副作用 | 痛み、歯肉退縮、歯根吸収、抜歯に伴う出血や腫れが生じることがあります。 |
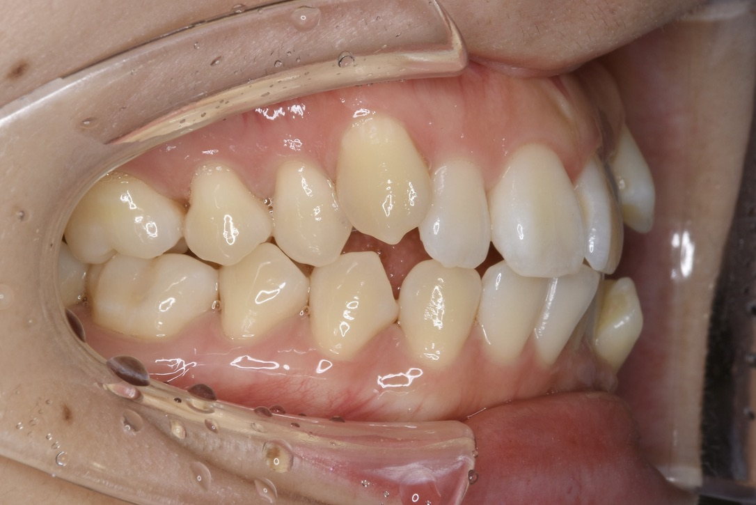
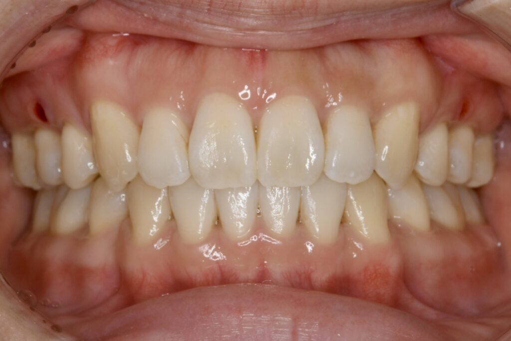
| 主訴 | 上の歯が出ていて、横顔が気になる。 |
|---|---|
| 診断名・主な症状 | 両側第一小臼歯の鋏状咬合を伴う上顎前突 |
| 年齢 | 13歳 |
| 治療内容 | 上下の歯並びの幅を拡げつつ、咬合関係を改善しました。 |
| 使用装置 | 表側矯正(ワイヤー) 矯正用ミニインプラント |
| 抜歯部位 | 抜歯なし |
| 治療期間 | 1年2ヶ月 |
| 通院回数 | 17回 |
| 費用 | 86万円程度(税別) 254 |
| リスク・副作用 | 痛み、歯肉退縮、歯根吸収、抜歯に伴う出血や腫れが生じることがあります。 |
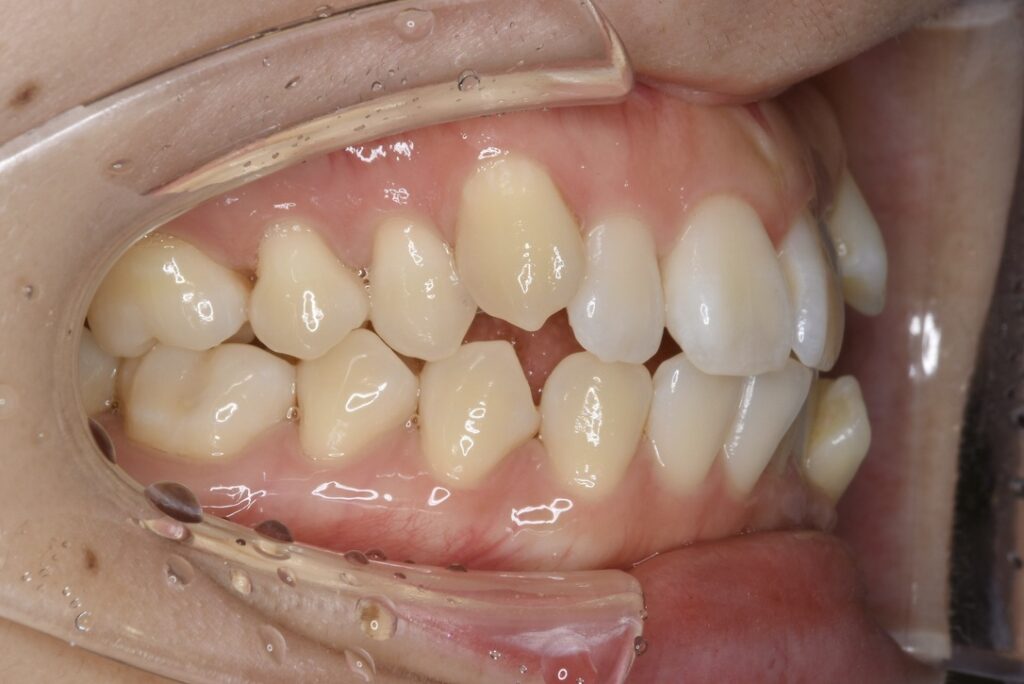
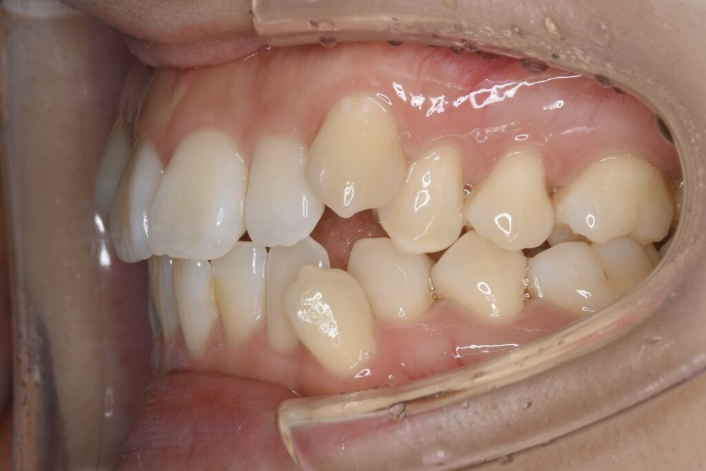
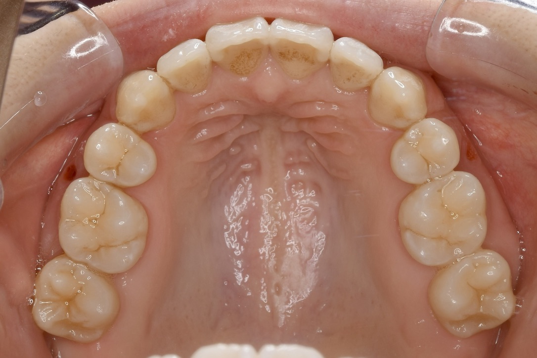
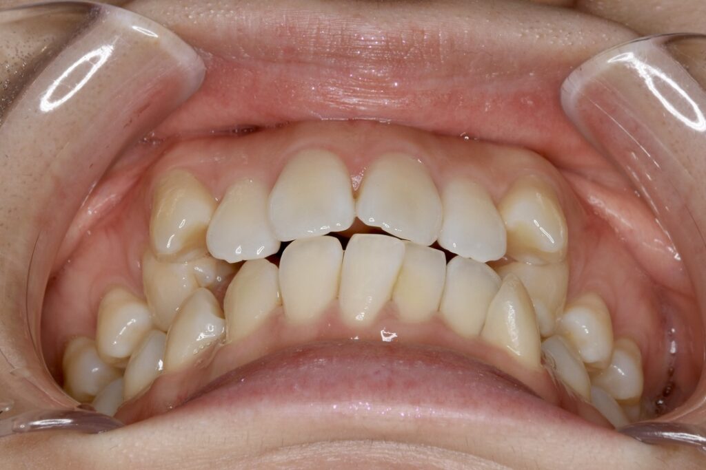
| 主訴 | 写真を見て歯並びが気になる。特に下の前歯はガタガタが強く治したい。 |
|---|---|
| 診断名・主な症状 | 叢生 |
| 年齢 | 19歳 |
| 治療内容 | 上下とも歯並びの幅を広げることでできたスペースを利用して、ガタガタを解消しました。 |
| 使用装置 | 表側矯正(ワイヤー) 矯正用ミニインプラント |
| 抜歯部位 | 抜歯なし |
| 治療期間 | 1年10ヶ月 |
| 通院回数 | 25回 |
| 費用 | 91万円程度(税別) 220 |
| リスク・副作用 | 痛み、歯肉退縮、歯根吸収、抜歯に伴う出血や腫れが生じることがあります。 |
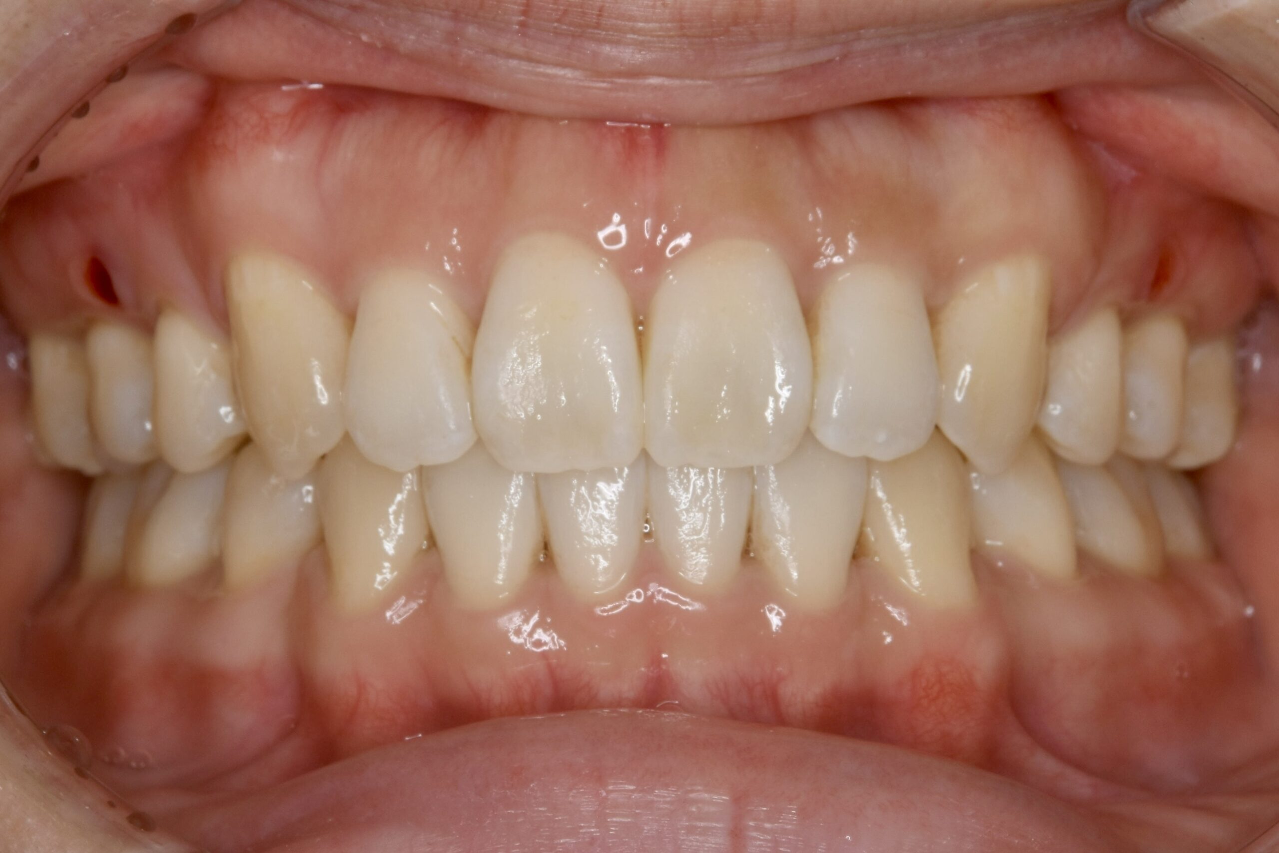
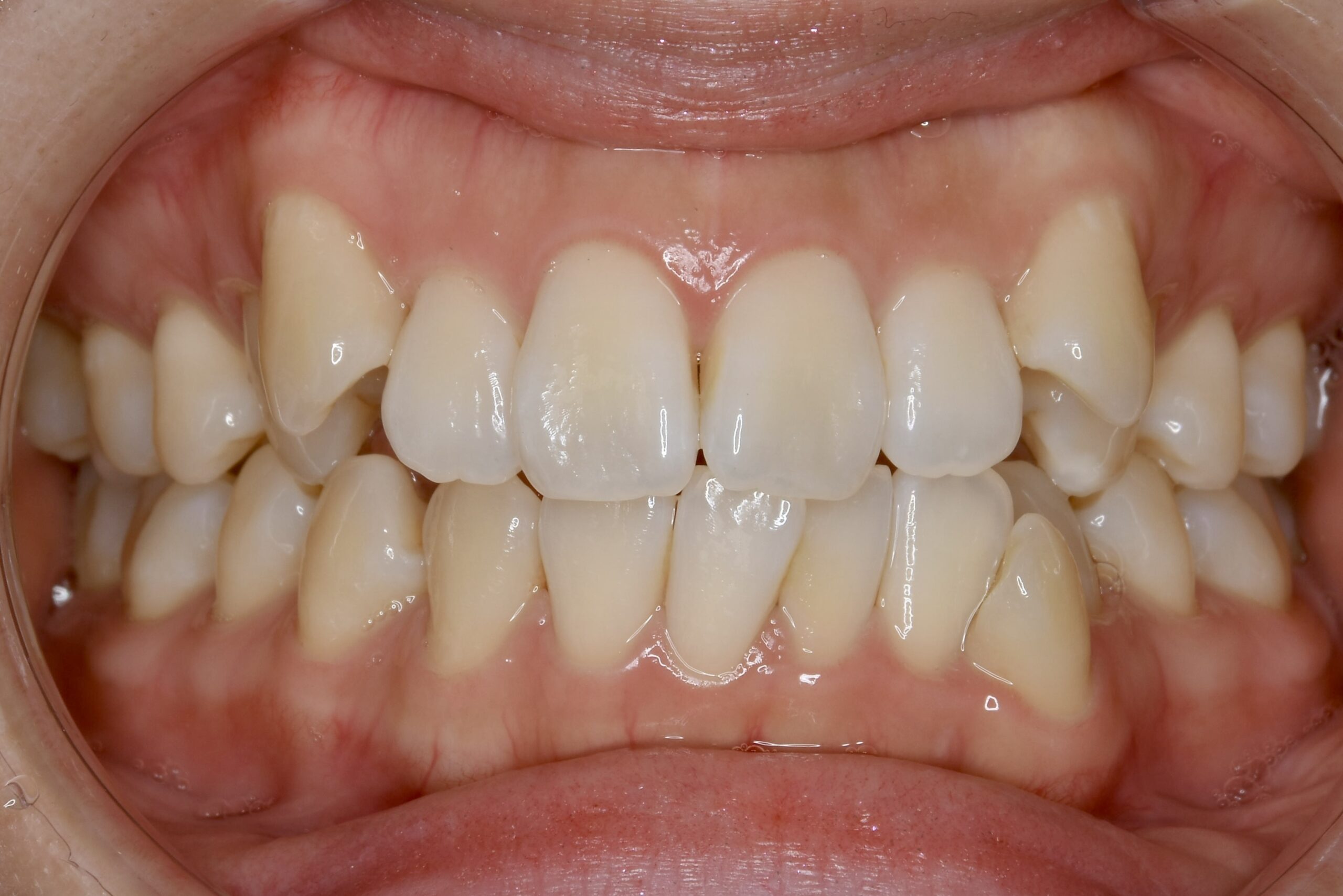
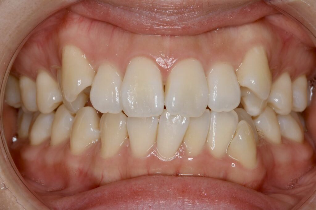
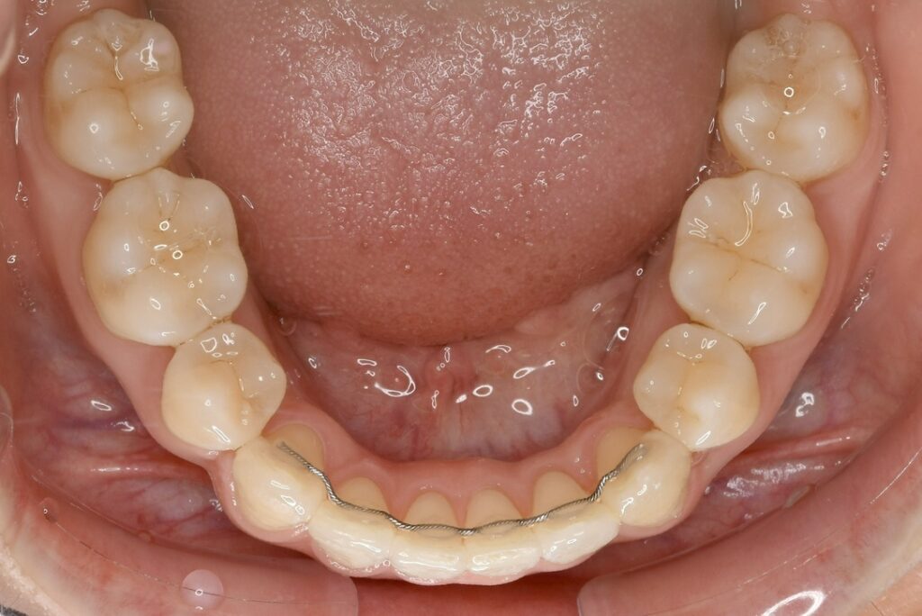
| 主訴 | 八重歯を治したい。 |
|---|---|
| 診断名・主な症状 | 上下前歯の叢生を伴う上顎前突 |
| 年齢 | 23歳 |
| 治療内容 | 上下とも歯を2本抜いて、前歯を後方に引きながら、でこぼこを治しました。 |
| 使用装置 | 表側矯正(ワイヤー) 矯正用ミニインプラント |
| 抜歯部位 | 上 両側4番目 下 両側5番目 |
| 治療期間 | 2年3ヶ月 |
| 通院回数 | 30回 |
| 費用 | 91万円程度(税別) 4255 |
| リスク・副作用 | 痛み、歯肉退縮、歯根吸収、抜歯に伴う出血や腫れが生じる可能性があります。 |