• 電話をかける電話をかける

    24時間受付 WEB予約24時間受付 WEB予約

    InstagramInstagram

  • 診療時間診療時間
    三重県伊勢市神田久志本町1328-3 1階三重県伊勢市神田久志本町1328-3 1階
DailyArchive: 2025.11.22

受け口の治療はなぜ早く始める?当院で行う治療方法について

  • 矯正治療のギモンについて
  • こどもの矯正

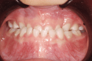
こんにちは!くらたやま矯正歯科です。今日は「受け口の治療」のついてお話をしていきたいと思います。 受け口(反対咬合)は、矯正相談に来られる保護者の方から特にご相談が多いお悩みのひとつです。 見た目だけでなく、かみ合わせや発音にも影響するため、できるだけ早めの治療が望ましいとされています。当院でも、通常Ⅰ期治療の開始時期…続きを読む

2025年11月
10月 12月
 12
3456789
10111213141516
17181920212223
24252627282930