症例検索
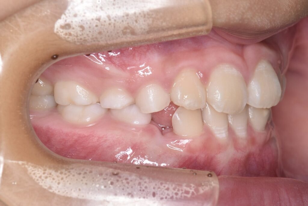
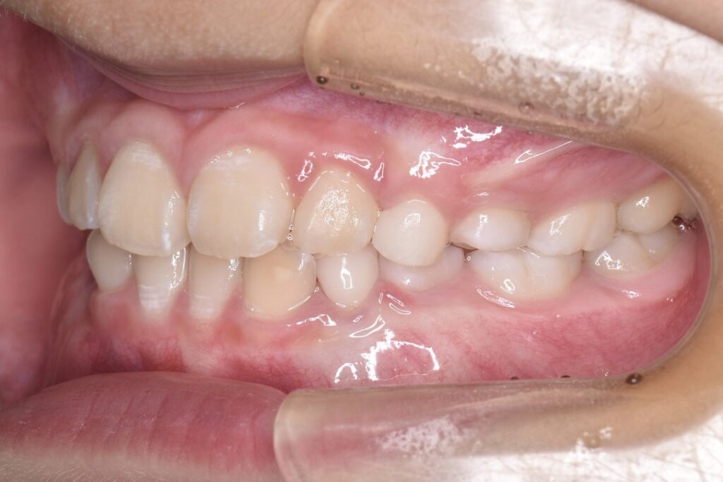
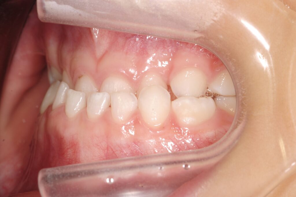
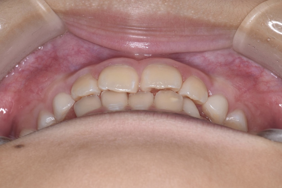
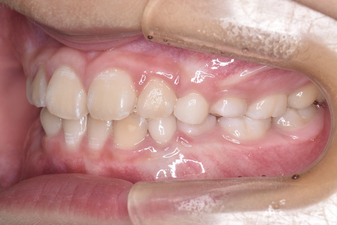
| 主訴 | 上の前歯が変なところから生えてきた |
|---|---|
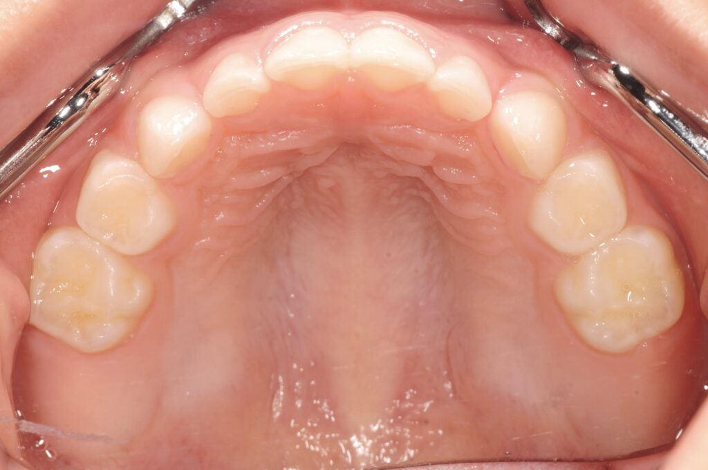
| 診断名・主な症状 | 叢生 |
| 年齢 | 9歳 |
| 治療内容 | 上下の歯並びの幅を拡げて、でこぼこを解消しました。 |
| 使用装置 | 急速拡大装置 ヘッドギア リンガルアーチ マルチブラケット(前歯のみ) |
| 抜歯部位 | 抜歯なし |
| 治療期間 | 2年 + 後戻り止め期間(1年) |
| 通院回数 | 14回 |
| 費用 | 50万円程度(税別) 28362 |
| リスク・副作用 | 痛み、歯肉退縮、歯根吸収、抜歯に伴う出血や腫れが生じることがあります。 |
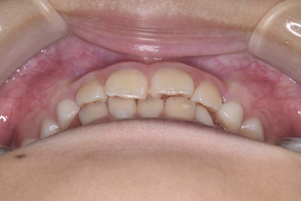
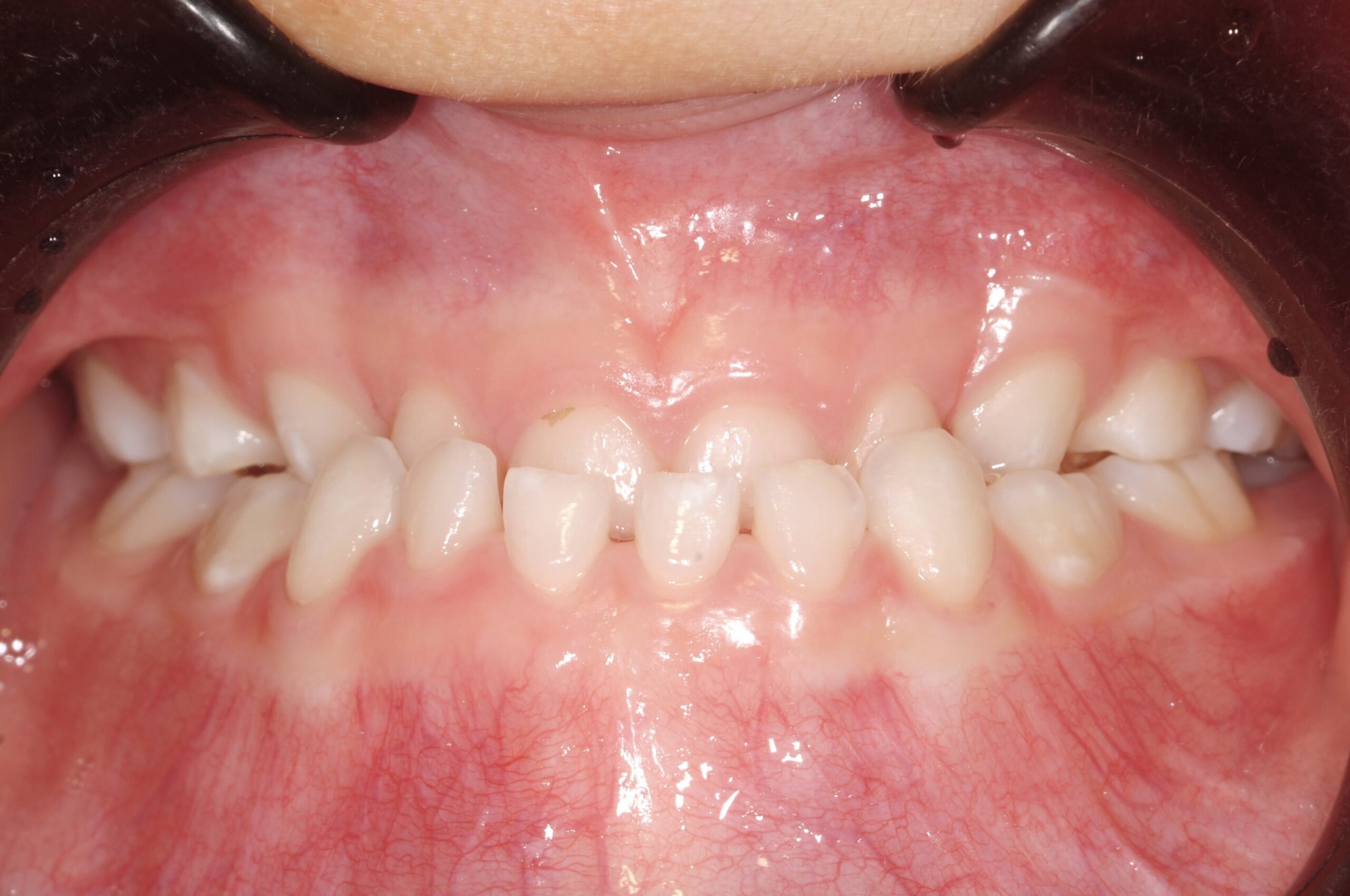
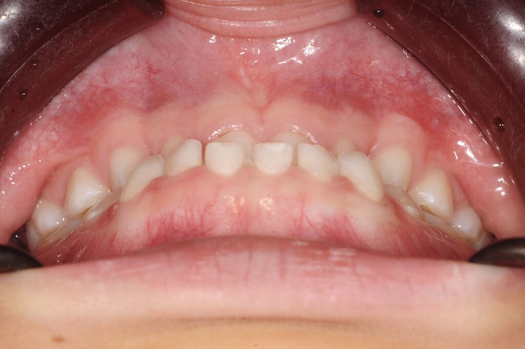
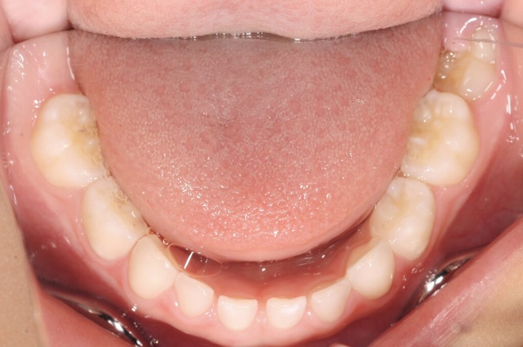
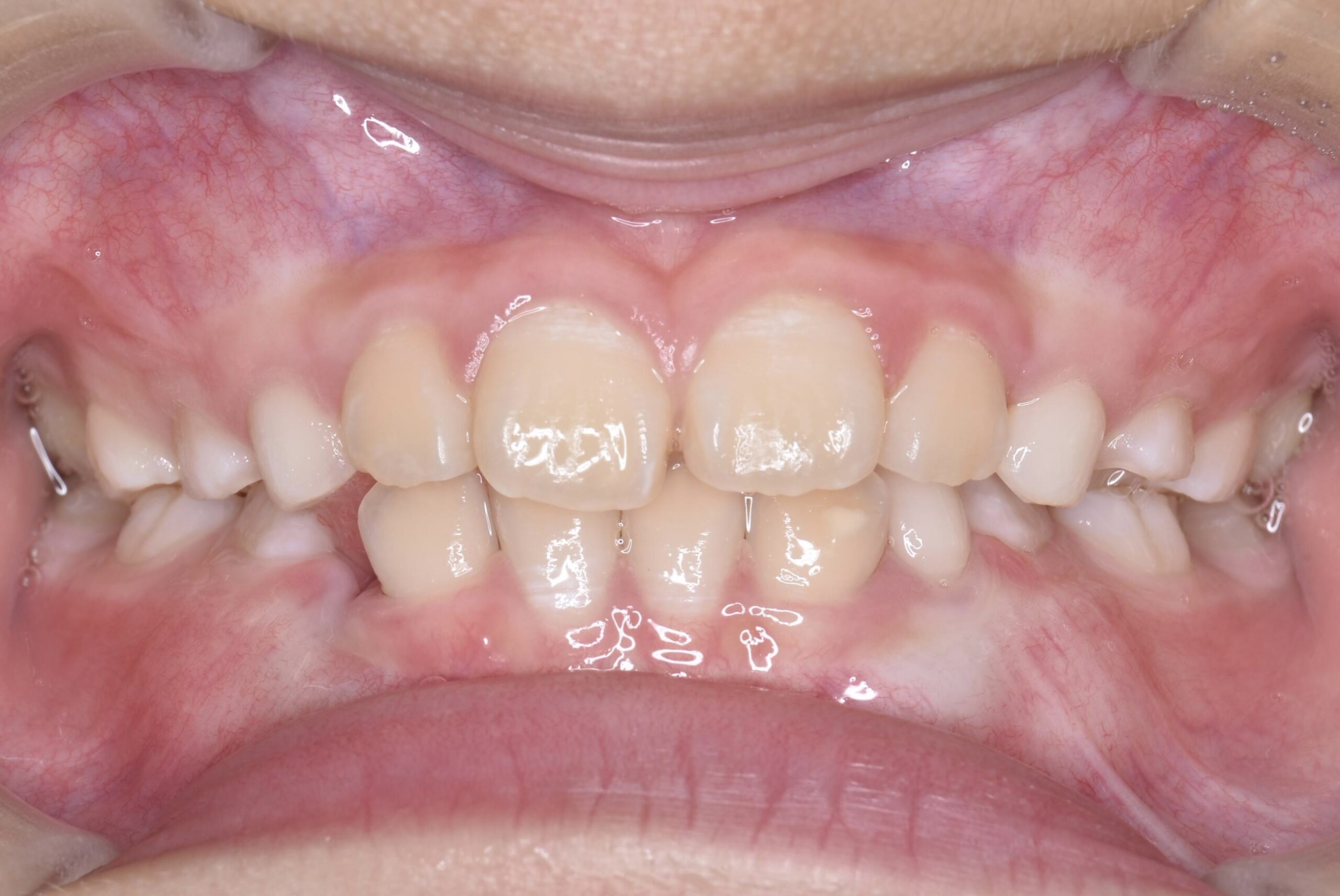
| 主訴 | 下の前歯のがたがたを治したい |
|---|---|
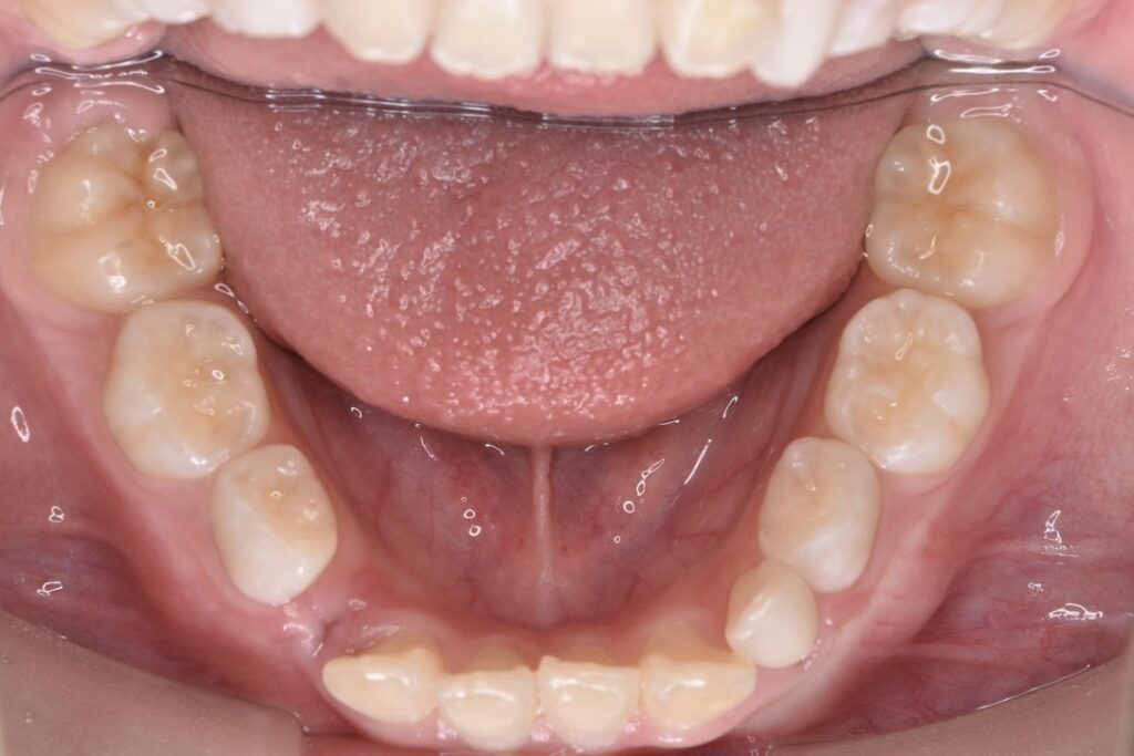
| 診断名・主な症状 | 下顎前歯叢生を伴う過蓋咬合 |
| 年齢 | 7歳 |
| 治療内容 | 上下の歯並びの幅を拡げつつ、前歯の関係を改善しました。 |
| 使用装置 | 急速拡大装置 リンガルアーチ 機能的矯正装置(マイオブレース) |
| 抜歯部位 | 抜歯なし |
| 治療期間 | 1年 + 後戻り止め期間(4年) |
| 通院回数 | 15回 |
| 費用 | 50万円程度(税別) 35959 |
| リスク・副作用 | 痛み、歯肉退縮、歯根吸収、抜歯に伴う出血や腫れが生じることがあります。 |
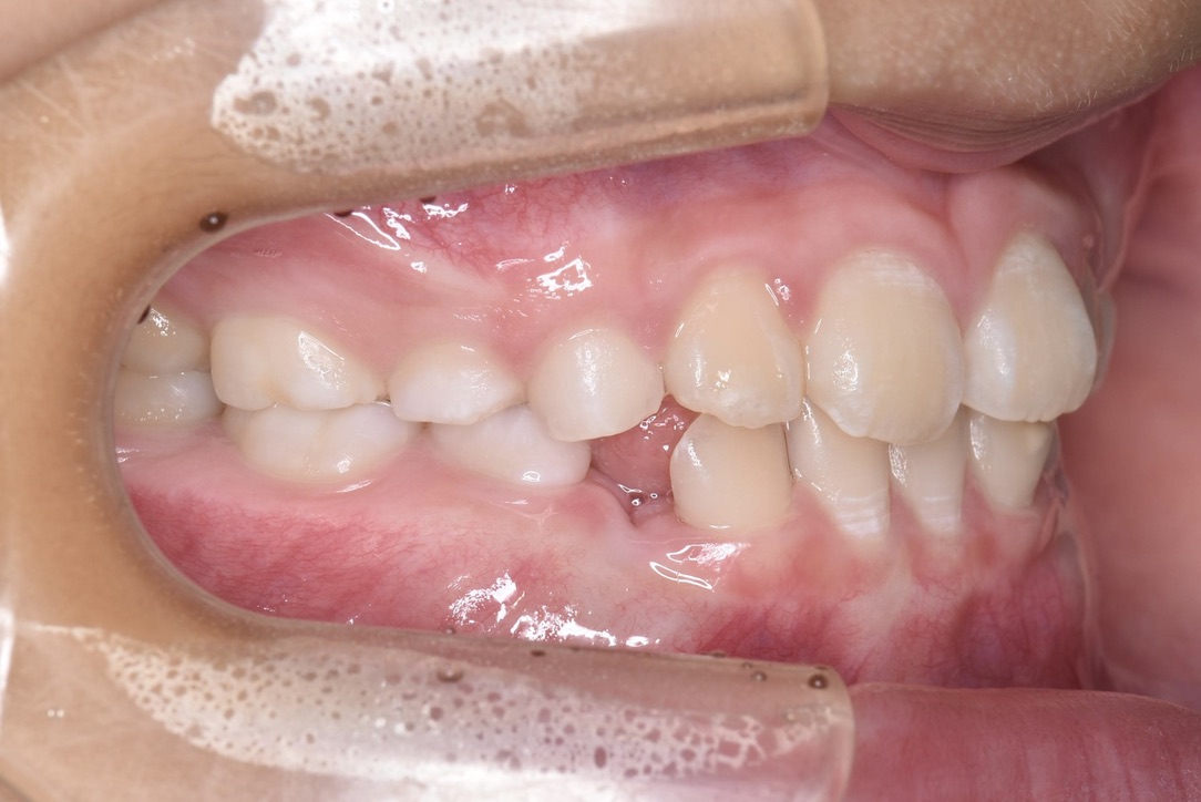
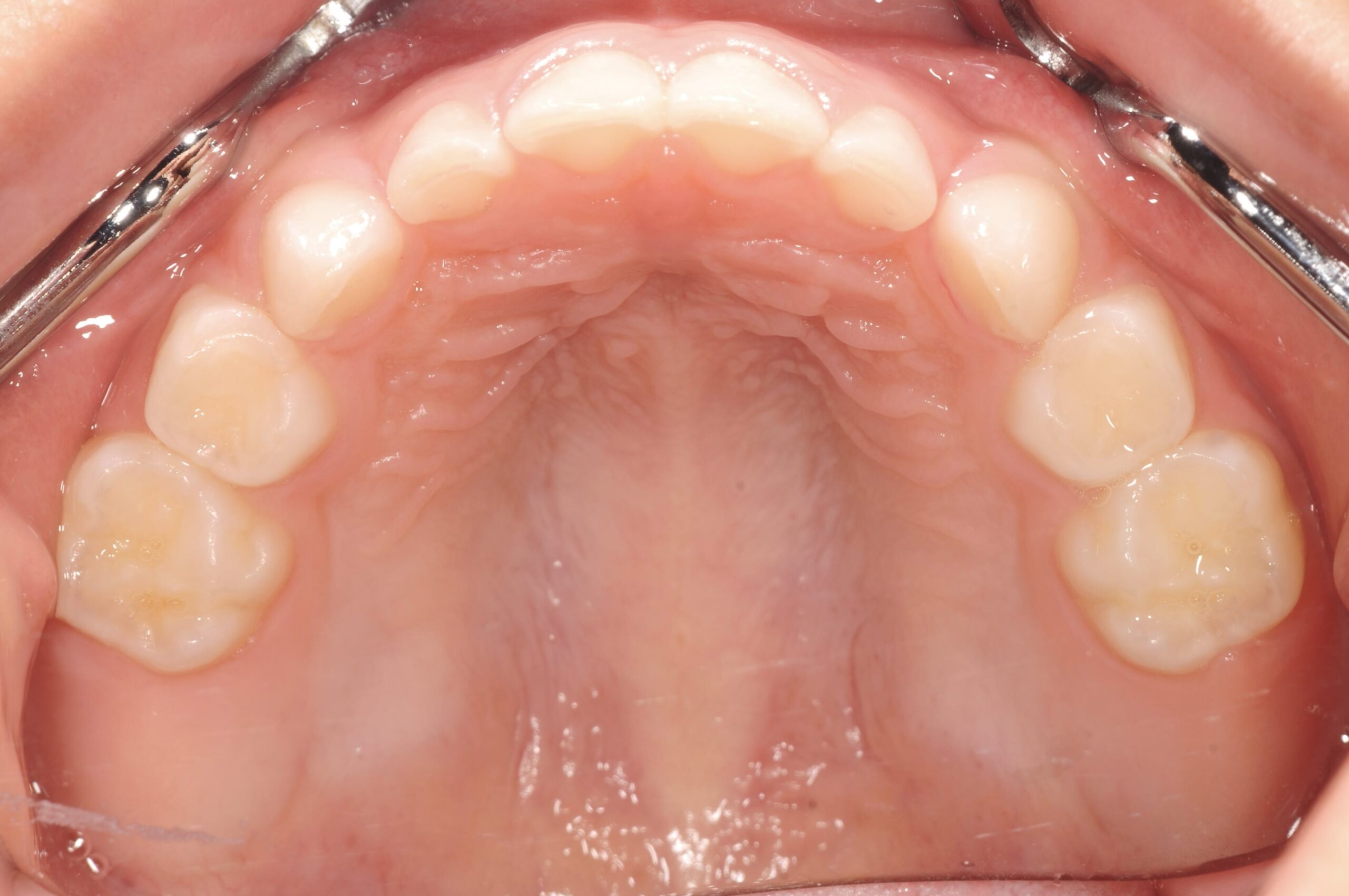
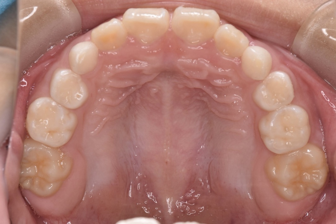
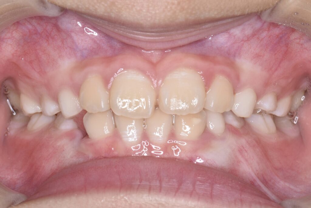
| 主訴 | 前歯のがたつき |
|---|---|
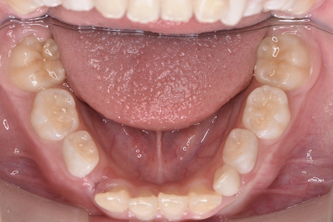
| 診断名・主な症状 | 叢生 |
| 年齢 | 8歳 |
| 治療内容 | 上下の歯並びの幅を拡げて、前歯のでこぼこを改善しました。 |
| 使用装置 | 急速拡大装置 リンガルアーチ 機能的矯正装置(マイオブレース) |
| 抜歯部位 | 抜歯なし |
| 治療期間 | 1年半 + 後戻り止め期間(2〜3年) |
| 通院回数 | 13回 |
| 費用 | 50万円程度(税別) 31873 |
| リスク・副作用 | 痛み、歯肉退縮、歯根吸収、抜歯に伴う出血や腫れが生じることがあります。 |
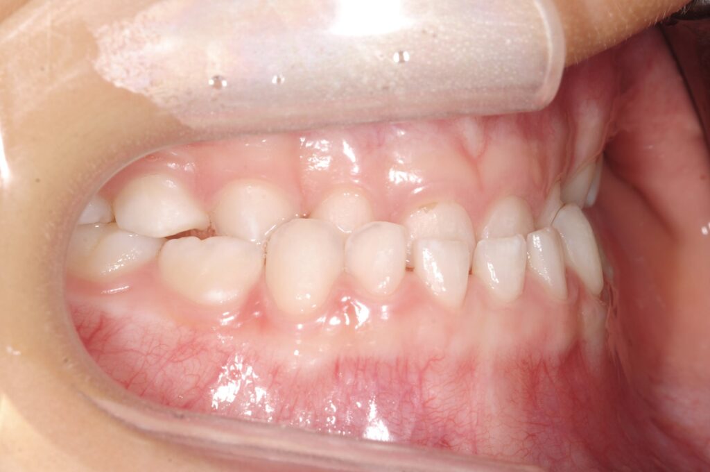
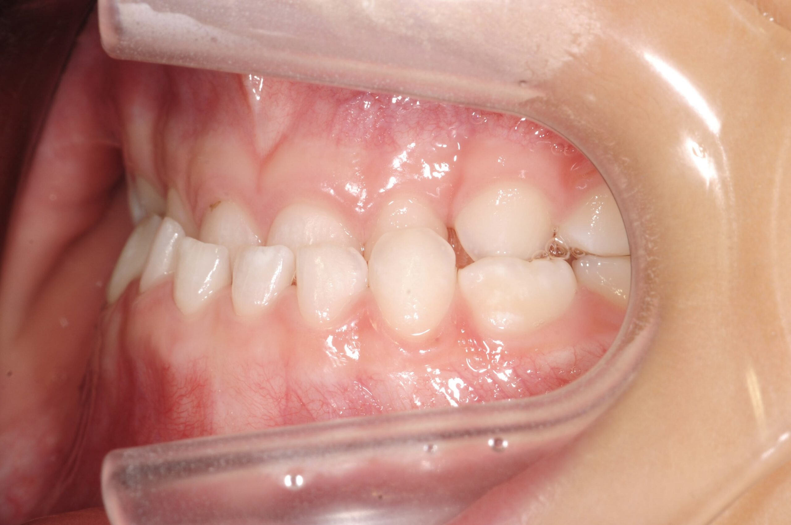
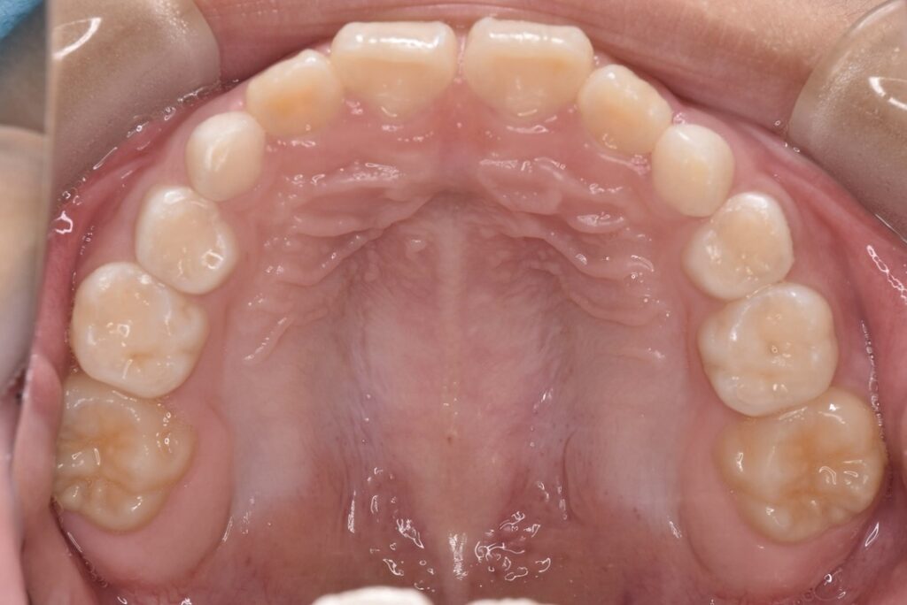
| 主訴 | 上の歯の出具合が気になる |
|---|---|
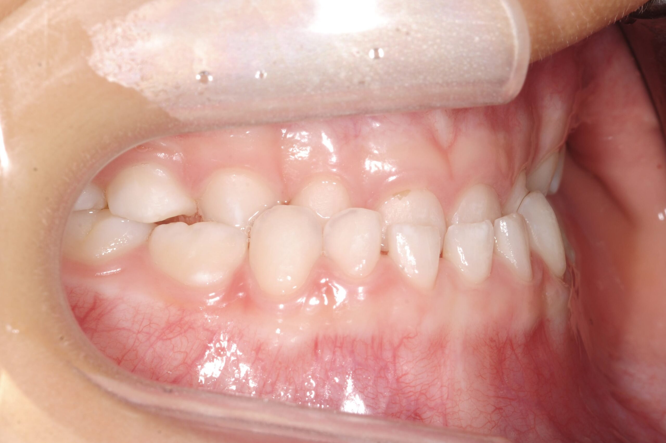
| 診断名・主な症状 | 下顎前歯叢生を伴う上顎前突 |
| 年齢 | 9歳 |
| 治療内容 | 上顎の成長を抑えながら、下顎の成長を促進しました。 |
| 使用装置 | 急速拡大装置 ヘッドギア 機能的矯正装置(FKO) |
| 抜歯部位 | 抜歯なし |
| 治療期間 | 2年 + 後戻り止め期間(2年) |
| 通院回数 | 15回 |
| 費用 | 50万円程度(税別) 25843 |
| リスク・副作用 | 痛み、歯肉退縮、歯根吸収、抜歯に伴う出血や腫れが生じることがあります。 |
| 主訴 | 前歯のでこぼこが気になる |
|---|---|
| 診断名・主な症状 | 上下顎前歯叢生を伴う上顎前突 |
| 年齢 | 8歳 |
| 治療内容 | 上顎を横に拡げつつ、下顎の成長を促進させました。 |
| 使用装置 | 急速拡大装置 リンガルアーチ 機能的矯正装置(マイオブレース) マルチブラケット(下顎前歯のみ) |
| 抜歯部位 | 抜歯なし |
| 治療期間 | 2年 + 後戻り止め期間(2年) |
| 通院回数 | 14回 |
| 費用 | 50万円程度(税別) 29029 |
| リスク・副作用 | 痛み、歯肉退縮、歯根吸収、抜歯に伴う出血や腫れが生じることがあります。 |
| 主訴 | 下顎が出ているのを治したい |
|---|---|
| 診断名・主な症状 | 骨格性下顎前突 |
| 年齢 | 9歳 |
| 治療内容 | 上顎を拡げつつ、下顎の成長を抑えました。 |
| 使用装置 | 急速拡大装置 リンガルアーチ チンキャップ |
| 抜歯部位 | 抜歯なし |
| 治療期間 | 3年 + 後戻り止め期間(4年) |
| 通院回数 | 24回 |
| 費用 | 52万円程度(税別) 13157 |
| リスク・副作用 | 痛み、歯肉退縮、歯根吸収、抜歯に伴う出血や腫れが生じることがあります。 |
| 主訴 | 前歯の反対咬みが気になる |
|---|---|
| 診断名・主な症状 | 下顎前突 |
| 年齢 | 6歳 |
| 治療内容 | 上顎を横に拡げつつ、下顎の成長を抑えました。 |
| 使用装置 | 急速拡大装置 リンガルアーチ チンキャップ |
| 抜歯部位 | 抜歯なし |
| 治療期間 | 3年 + 後戻り止め期間(5年) |
| 通院回数 | 27回 |
| 費用 | 53万円程度(税別) 32726 |
| リスク・副作用 | 痛み、歯肉退縮、歯根吸収、抜歯に伴う出血や腫れが生じることがあります。 |
| 主訴 | 受け口を治したい。 |
|---|---|
| 診断名・主な症状 | 下顎前突 |
| 年齢 | 5歳 |
| 治療内容 | 上顎を横に拡げつつ、下顎の成長を抑えました。 |
| 抜歯部位 | 急速拡大装置 リンガルアーチ チンキャップ |
| 治療期間 | 3年 + 後戻り止め期間(5年) |
| 通院回数 | 27回 |
| 費用 | 53万円程度(税別) 33330 |
| リスク・副作用 | 痛み、歯肉退縮、歯根吸収、抜歯に伴う出血や腫れが生じることがあります。 |
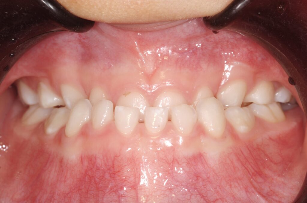
| 主訴 | 噛み合わせが深いと歯医者で言われたので治したい。 |
|---|---|
| 診断名・主な症状 | 過蓋咬合 |
| 年齢 | 7歳 |
| 治療内容 | 上下の歯並びの幅を拡げつつ、前歯の関係を改善しました。 |
| 使用装置 | 急速拡大装置 マルチブラケット装置 |
| 抜歯部位 | 抜歯なし |
| 治療期間 | 2年 + 後戻り止め期間(3年) |
| 通院回数 | 15回 |
| 費用 | 50万円程度(税別) |
| リスク・副作用 | 痛み、歯肉退縮、歯根吸収、抜歯に伴う出血や腫れが生じることがあります。 |
| 主訴 | 右下の歯が飛び出ているので治したい。 |
|---|---|
| 診断名・主な症状 | 過蓋咬合 |
| 年齢 | 5歳 |
| 治療内容 | 上下の歯並びの幅を拡げつつ、前歯の関係を改善しました。 |
| 使用装置 | 急速拡大装置 リンガルアーチ 機能的矯正装置(マイオブレース) |
| 抜歯部位 | 抜歯なし |
| 治療期間 | 2年 + 後戻り止め期間(5年) |
| 通院回数 | 25回 |
| 費用 | 50万円程度(税別) 26987 |
| リスク・副作用 | 痛み、歯肉退縮、歯根吸収、抜歯に伴う出血や腫れが生じることがあります。 |