• 電話をかける電話をかける

    24時間受付 WEB予約24時間受付 WEB予約

    InstagramInstagram

  • 診療時間診療時間
    三重県伊勢市神田久志本町1328-3 1階三重県伊勢市神田久志本町1328-3 1階

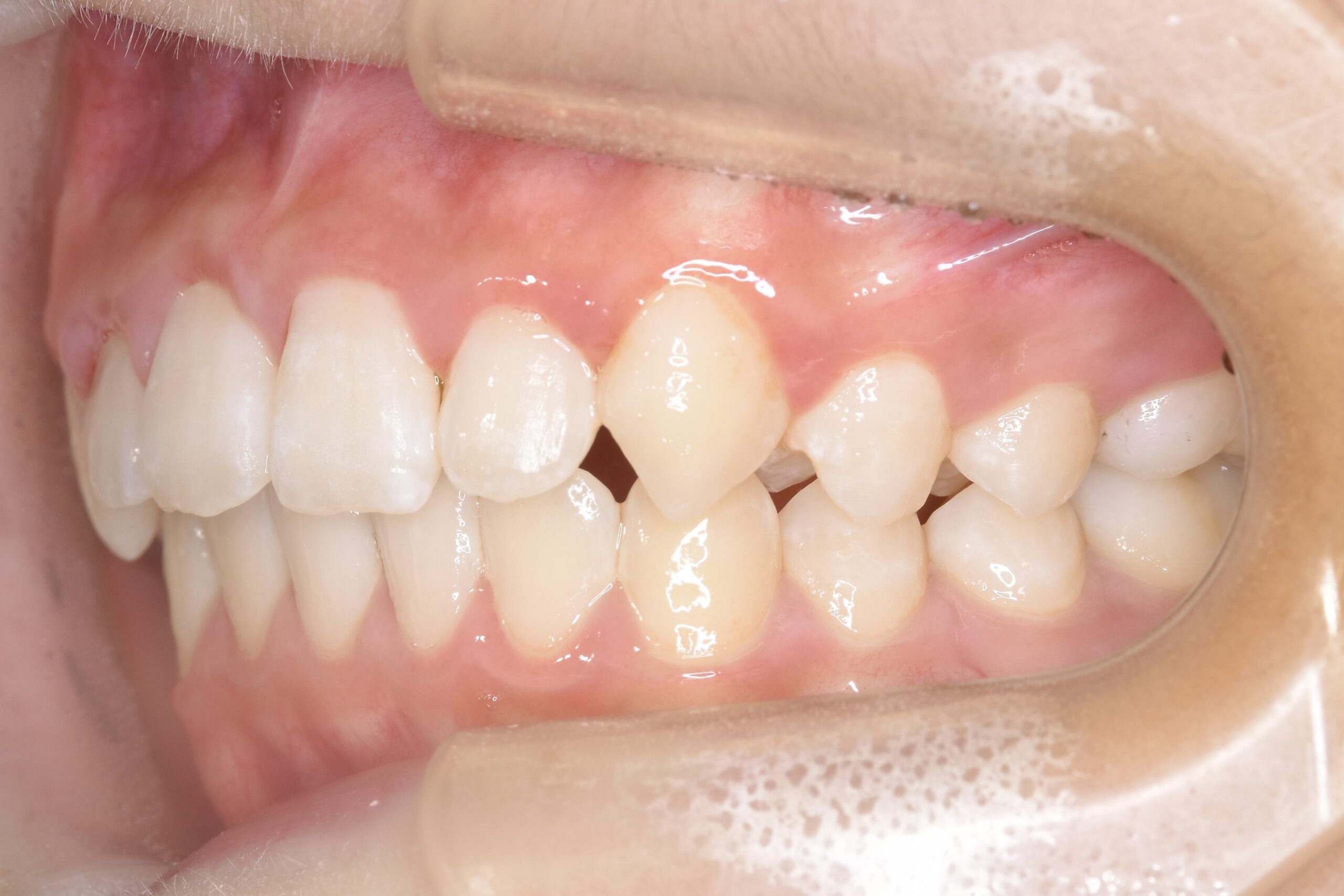
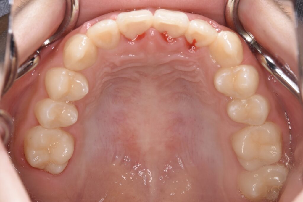
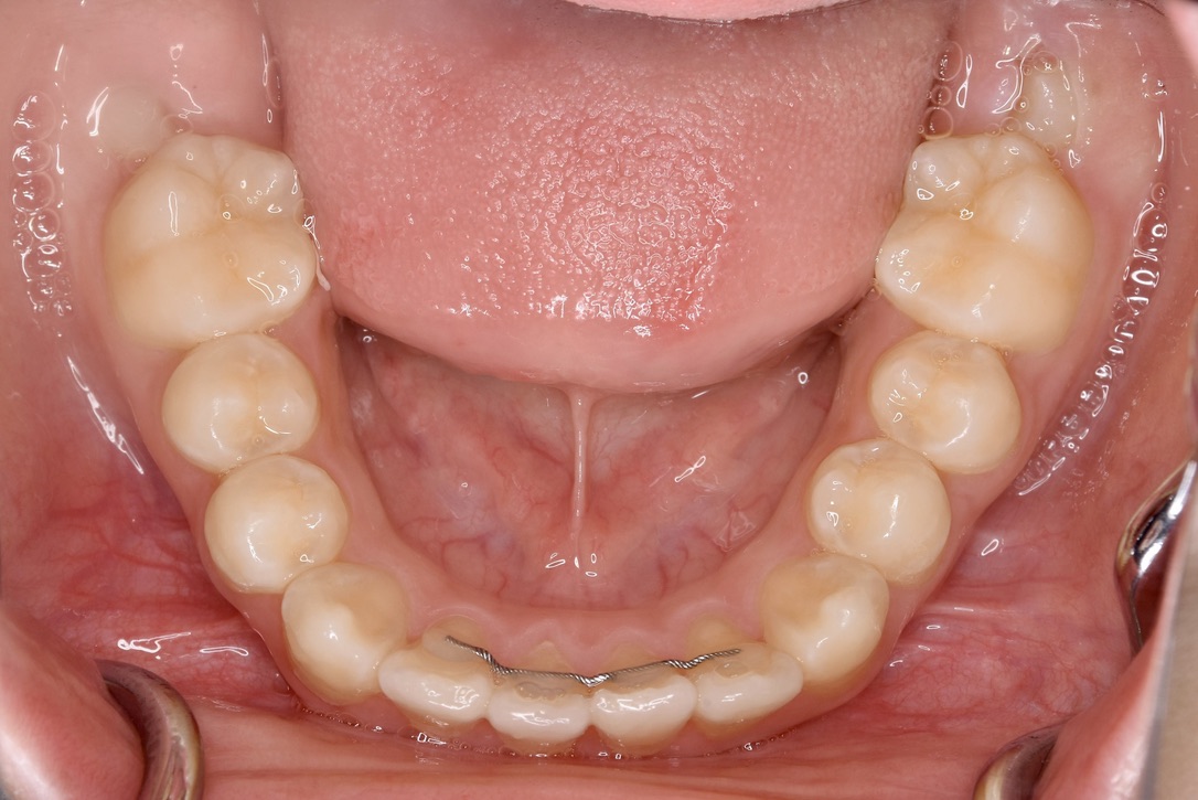
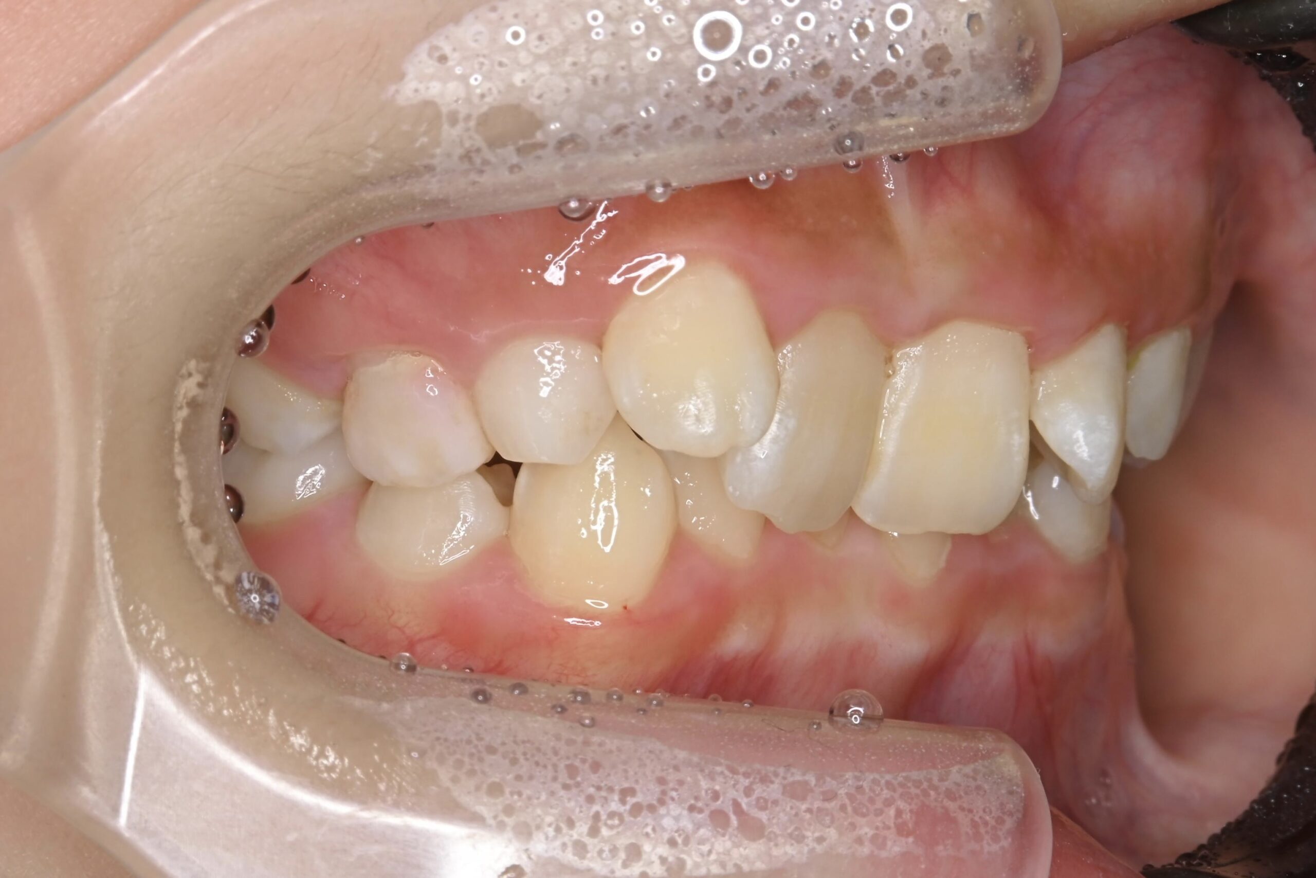
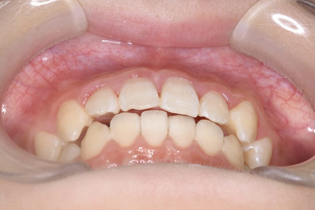
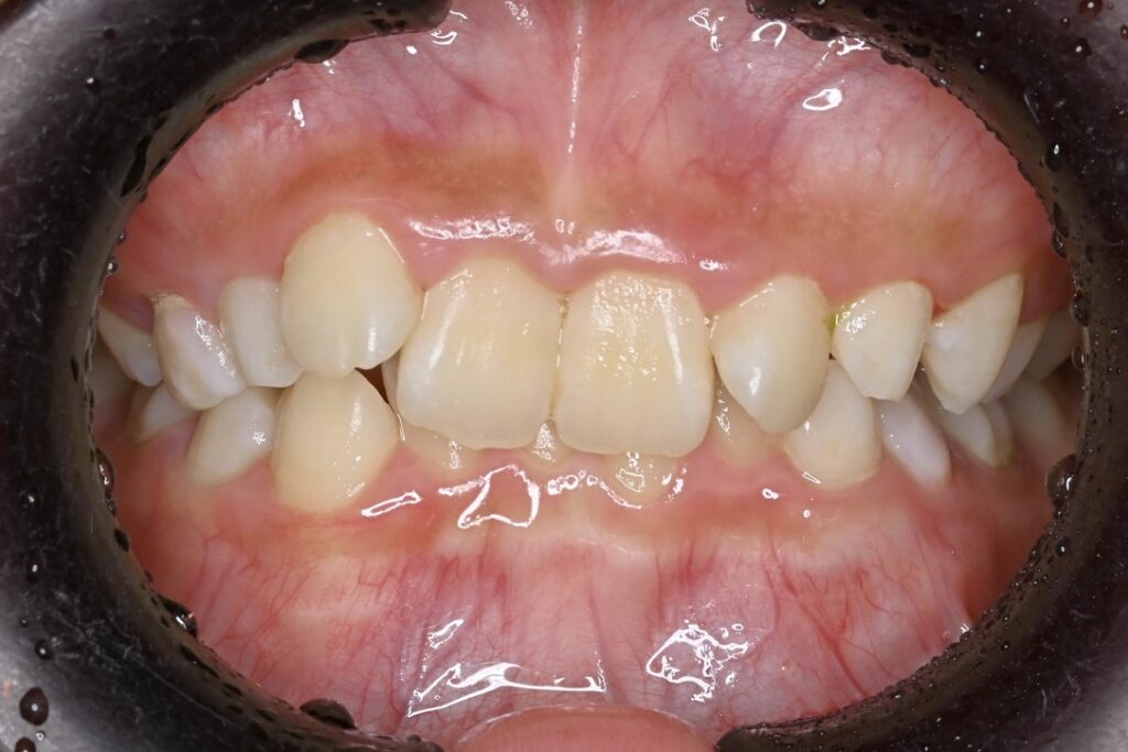
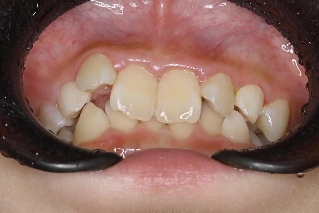
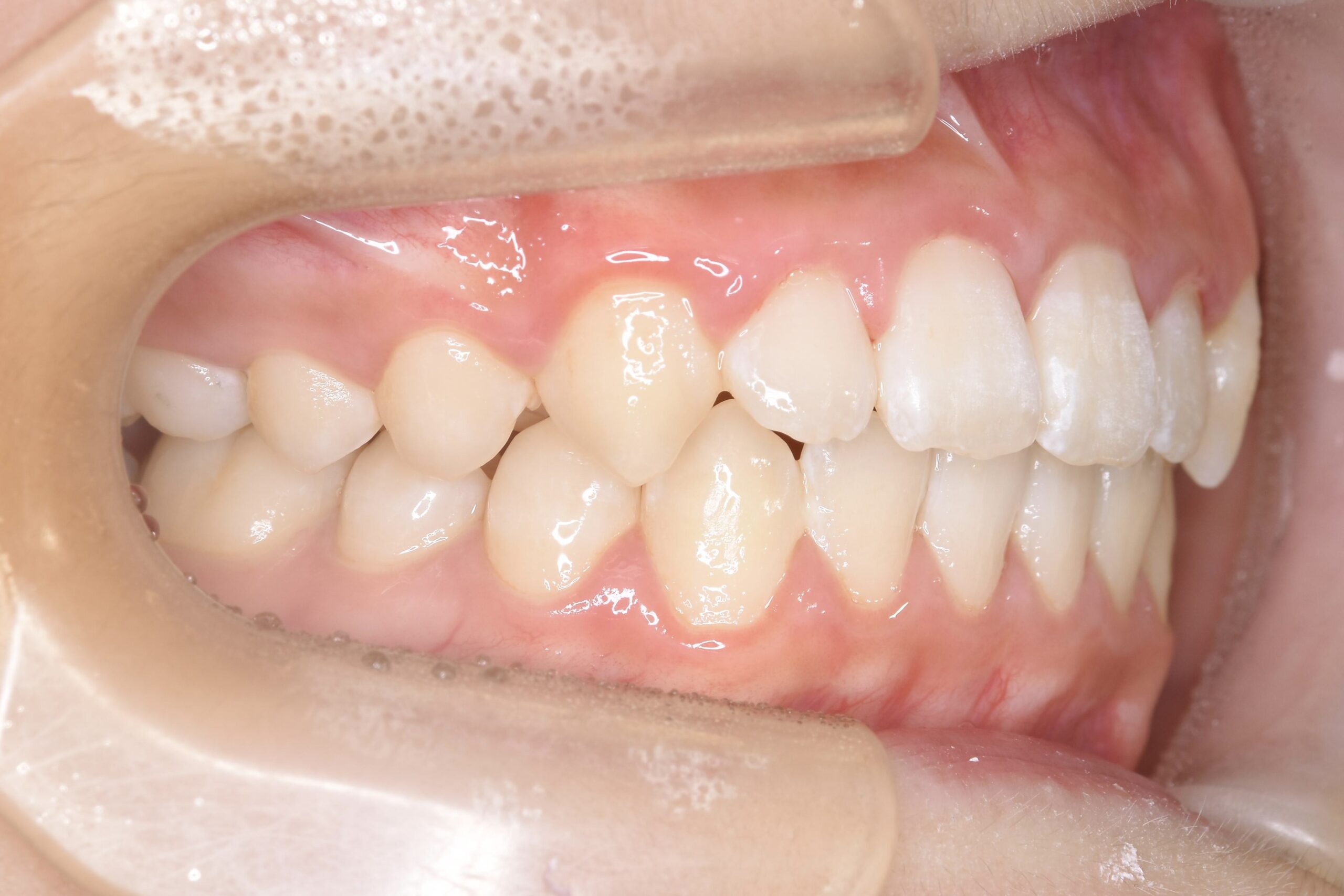
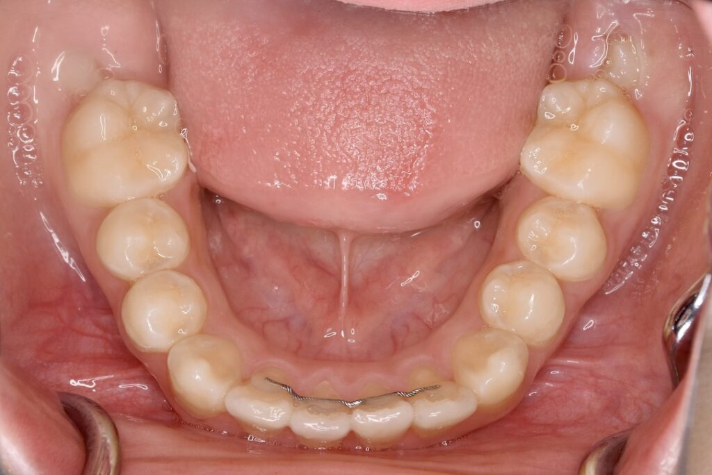
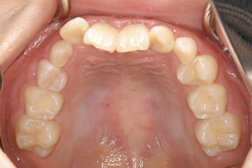
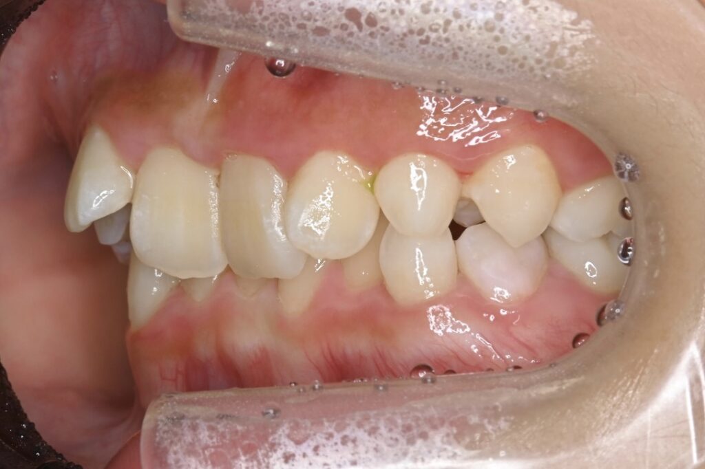
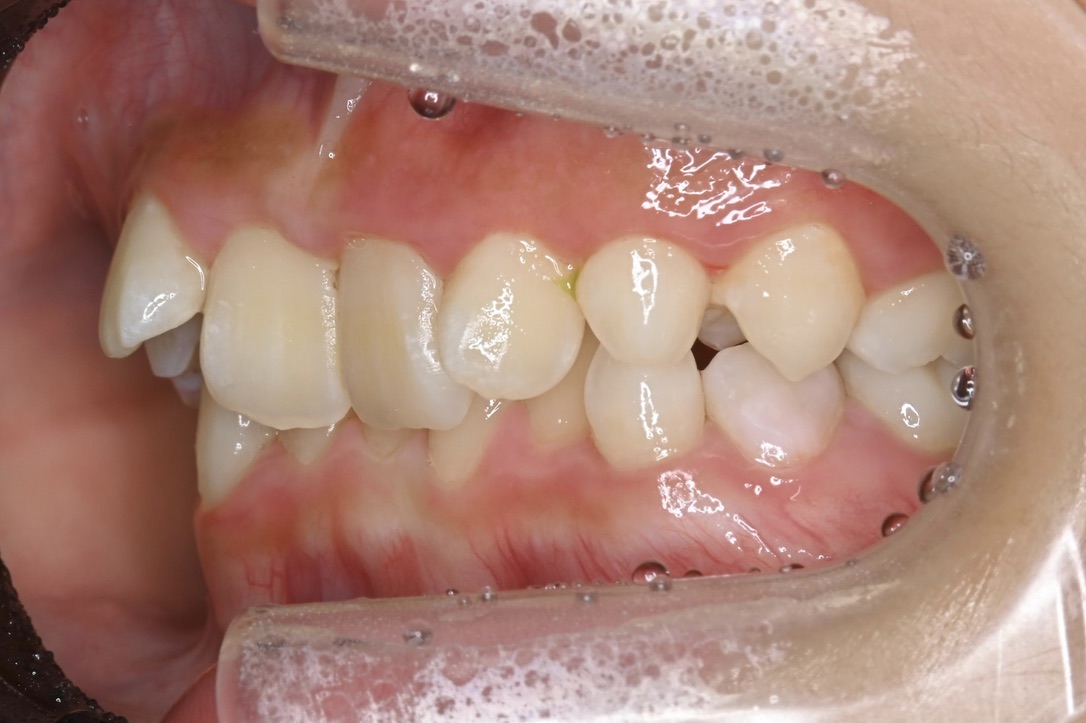
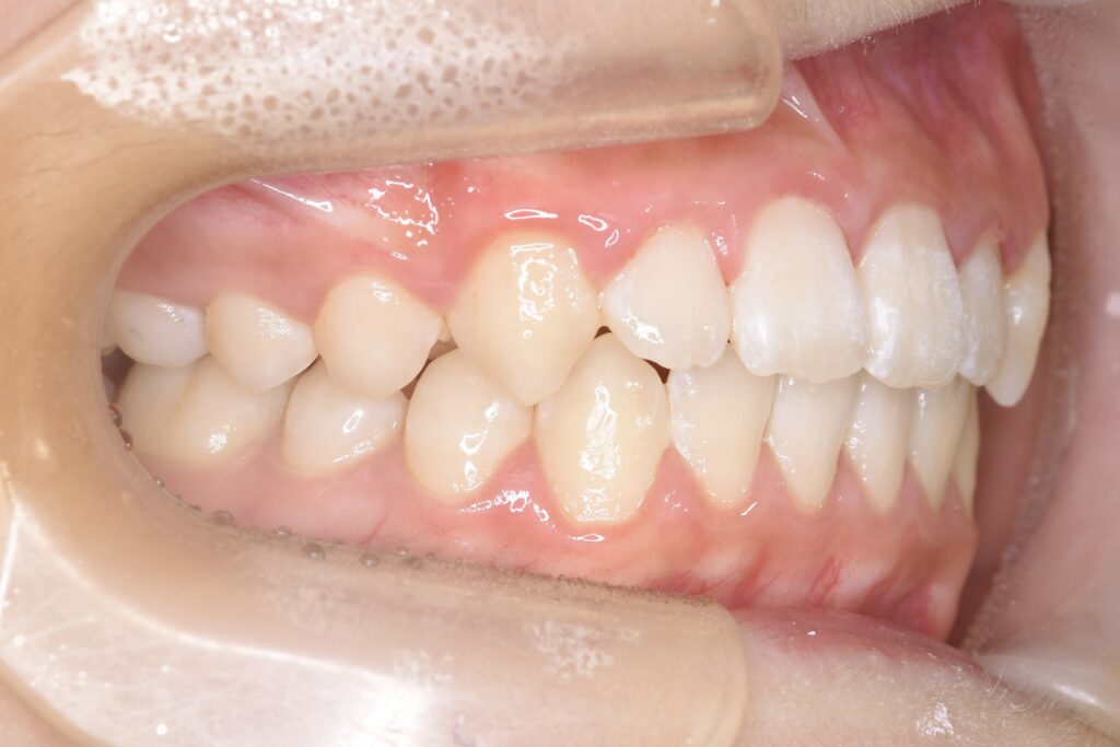
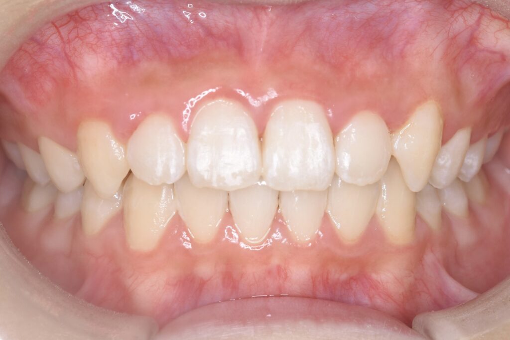
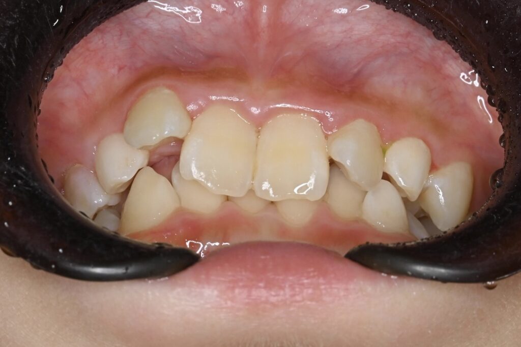
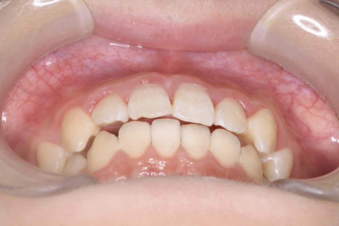
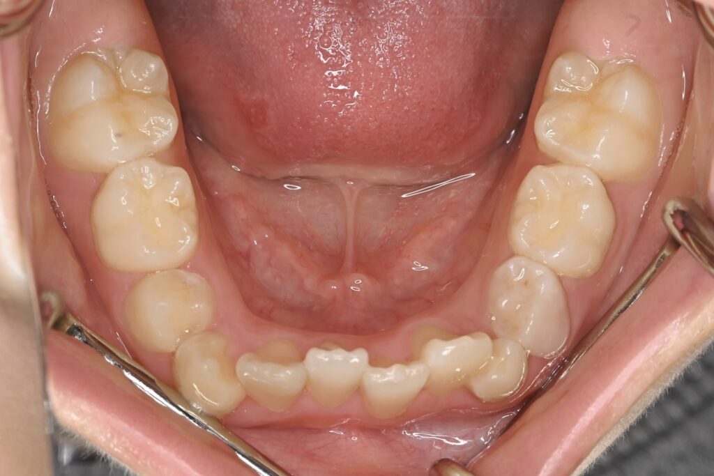
7歳 男児 小児矯正

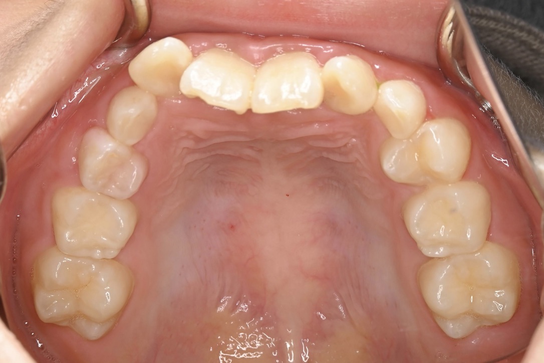
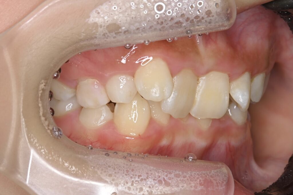
BEFORE
*
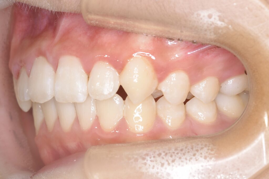
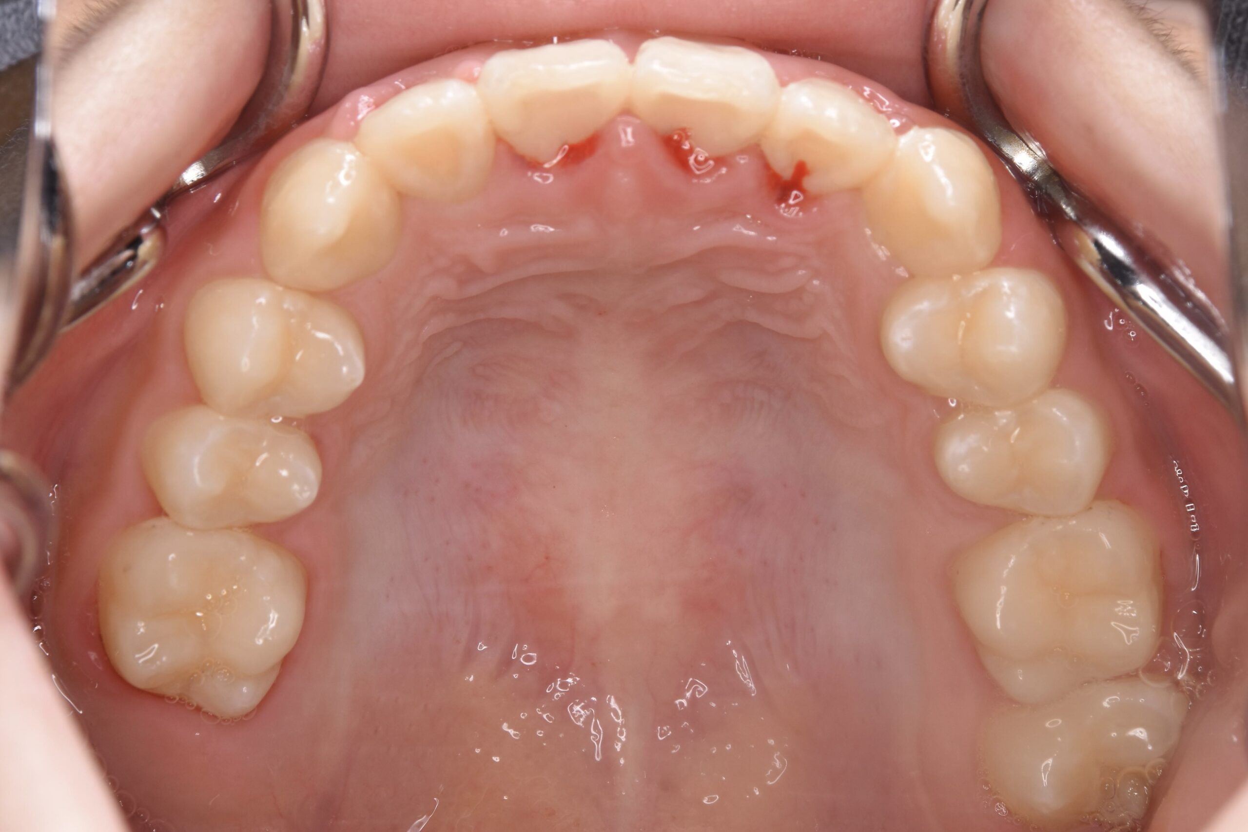
AFTER
主訴 通っている歯医者で矯正した方がいいと言われて気になっている。下の前歯がでこぼこしている。
診断名・主な症状 下顎前歯の叢生を伴う過蓋咬合
年齢 7歳
治療内容 上下の歯並びの幅を拡げつつ、前歯の関係を改善しました。
使用装置 急速拡大装置
リンガルアーチ
機能的矯正装置(マイオブレース)
抜歯部位 抜歯なし
治療期間 2年 + 後戻り止め期間(3年 )
通院回数 20回
費用 50万円程度(税別)  29331
リスク・副作用 痛み、歯肉退縮、歯根吸収、抜歯に伴う出血や腫れが生じることがあります。