伊勢市の矯正歯科・くらたやま矯正歯科の症例を紹介
CASE
症例集
はじめに
治療の流れ
矯正した方が良い理由<こども>
矯正した方が良い理由<おとな>
不正咬合の種類
矯正相談
よくある質問
院長・スタッフ紹介
クリニック紹介
診療案内
こどもの矯正
おとなの矯正
症例集
料金表
アクセス・診療時間
はじめに
治療の流れ
矯正した方が良い理由<こども>
矯正した方が良い理由<おとな>
不正咬合の種類
矯正相談
よくある質問
院長・スタッフ紹介
クリニック紹介
診療案内
こどもの矯正
おとなの矯正
症例集
料金表
アクセス・診療時間
MENU
CLOSE
メインメニュー
ホーム
院長・スタッフ紹介
クリニック紹介
料金表
アクセス・診療時間
採用情報
はじめに
治療の流れ
矯正した方が良い理由<こども>
矯正した方が良い理由<おとな>
不正咬合の種類
矯正相談
よくある質問
診療案内
こどもの矯正
おとなの矯正
症例集
〒516-0016
三重県伊勢市神田久志本町1328-3 1階
アクセスページへ
▲
9:00〜12:00/13:00〜19:00
休診日:火・日・祝
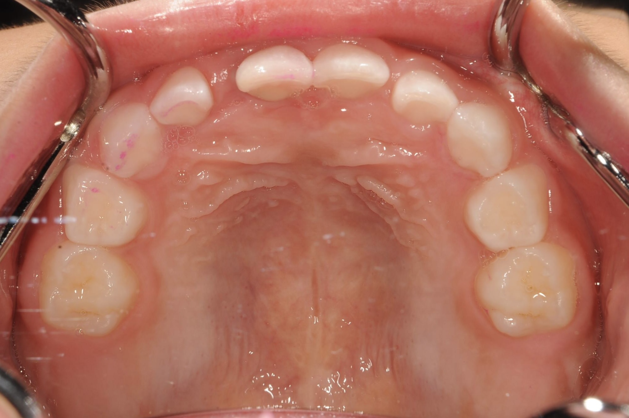
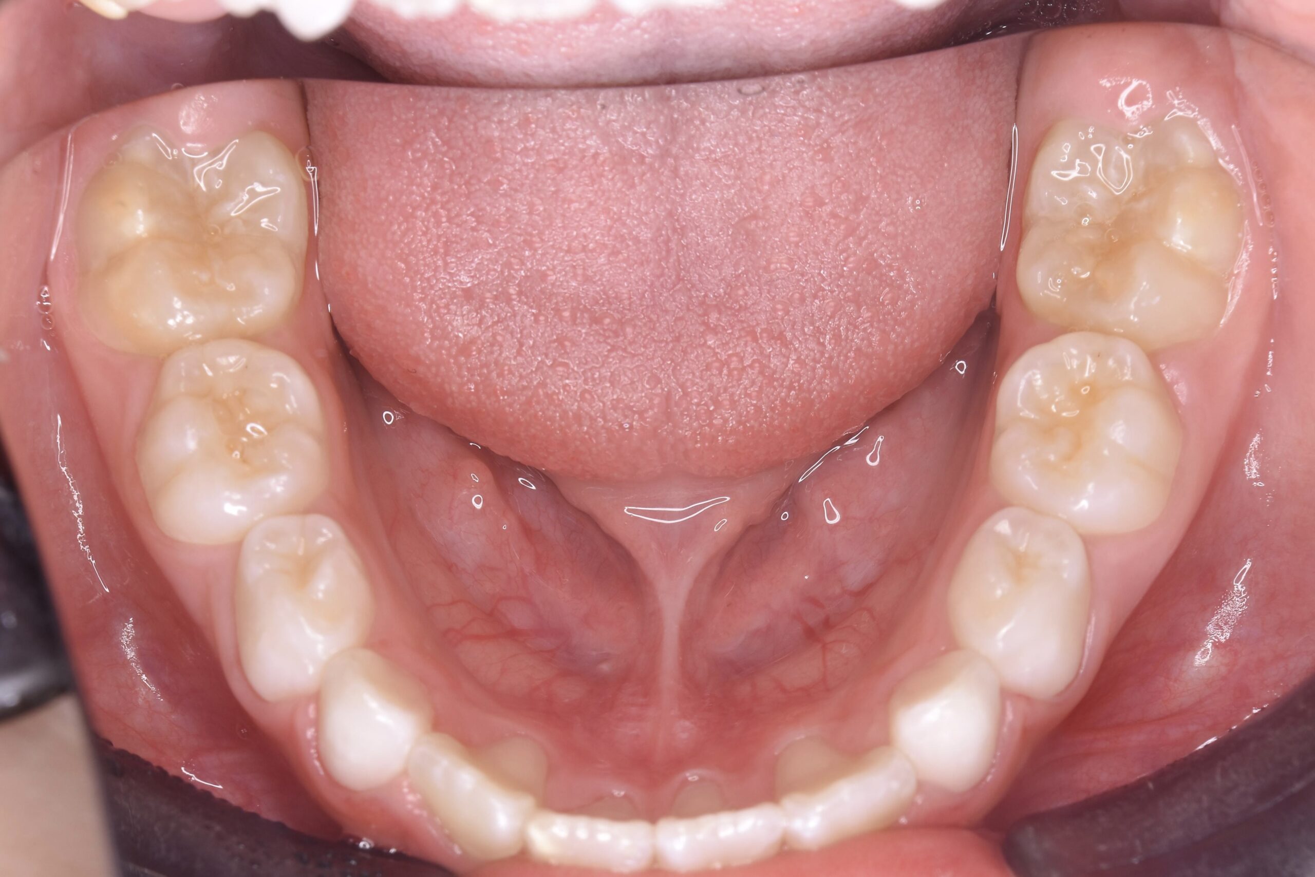
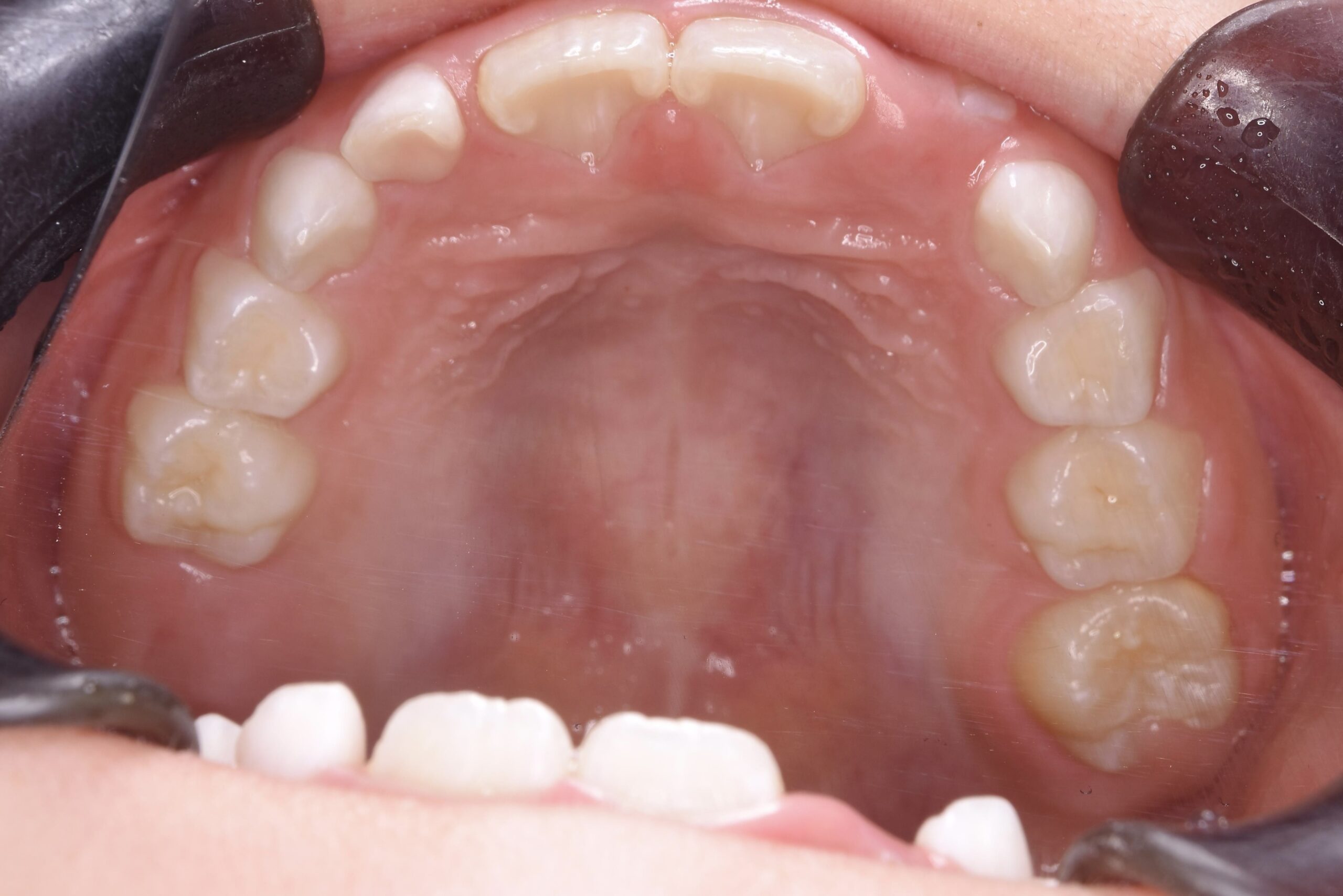
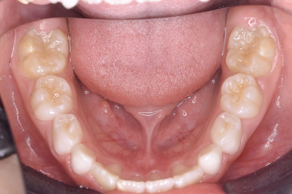
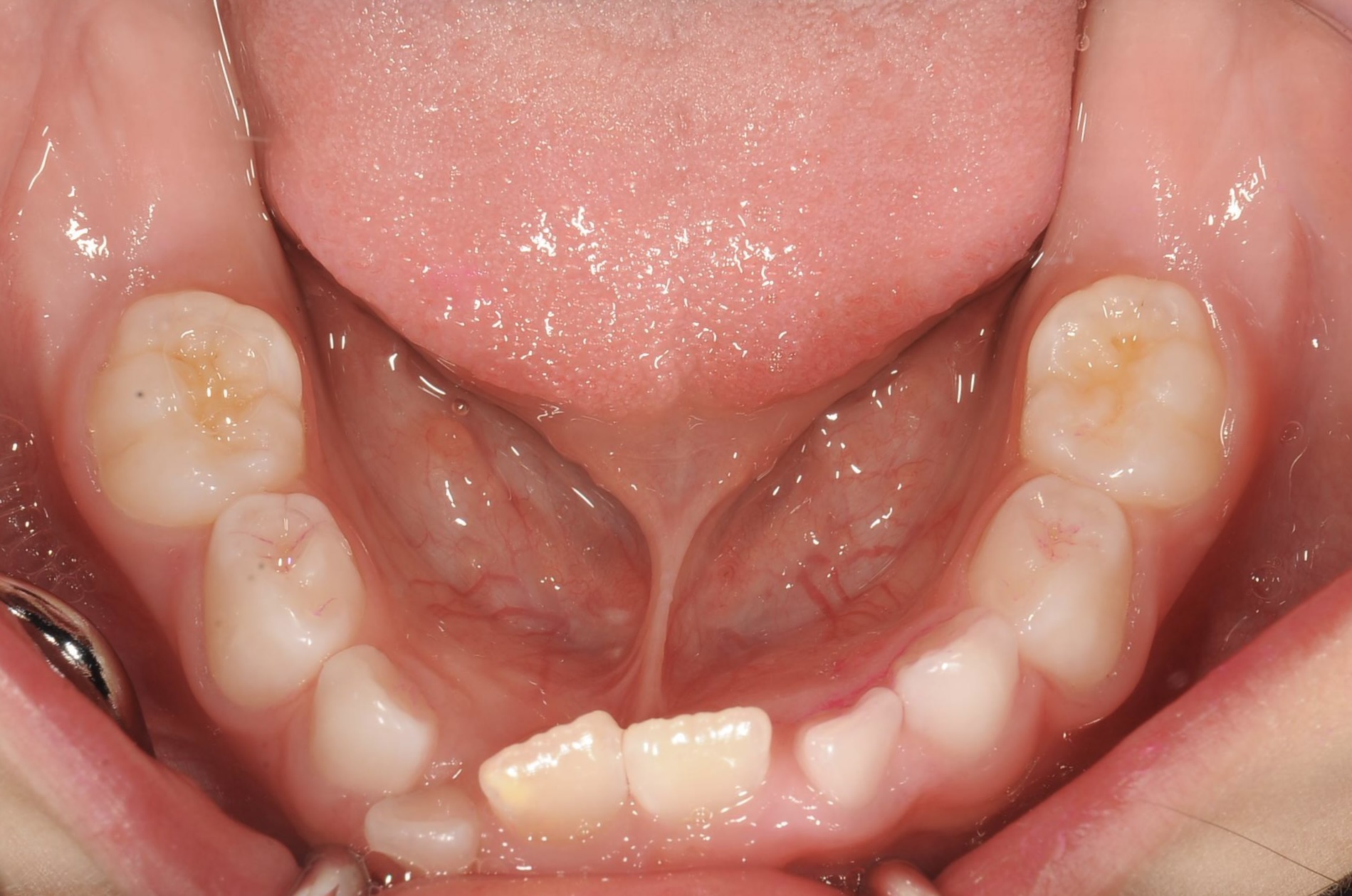
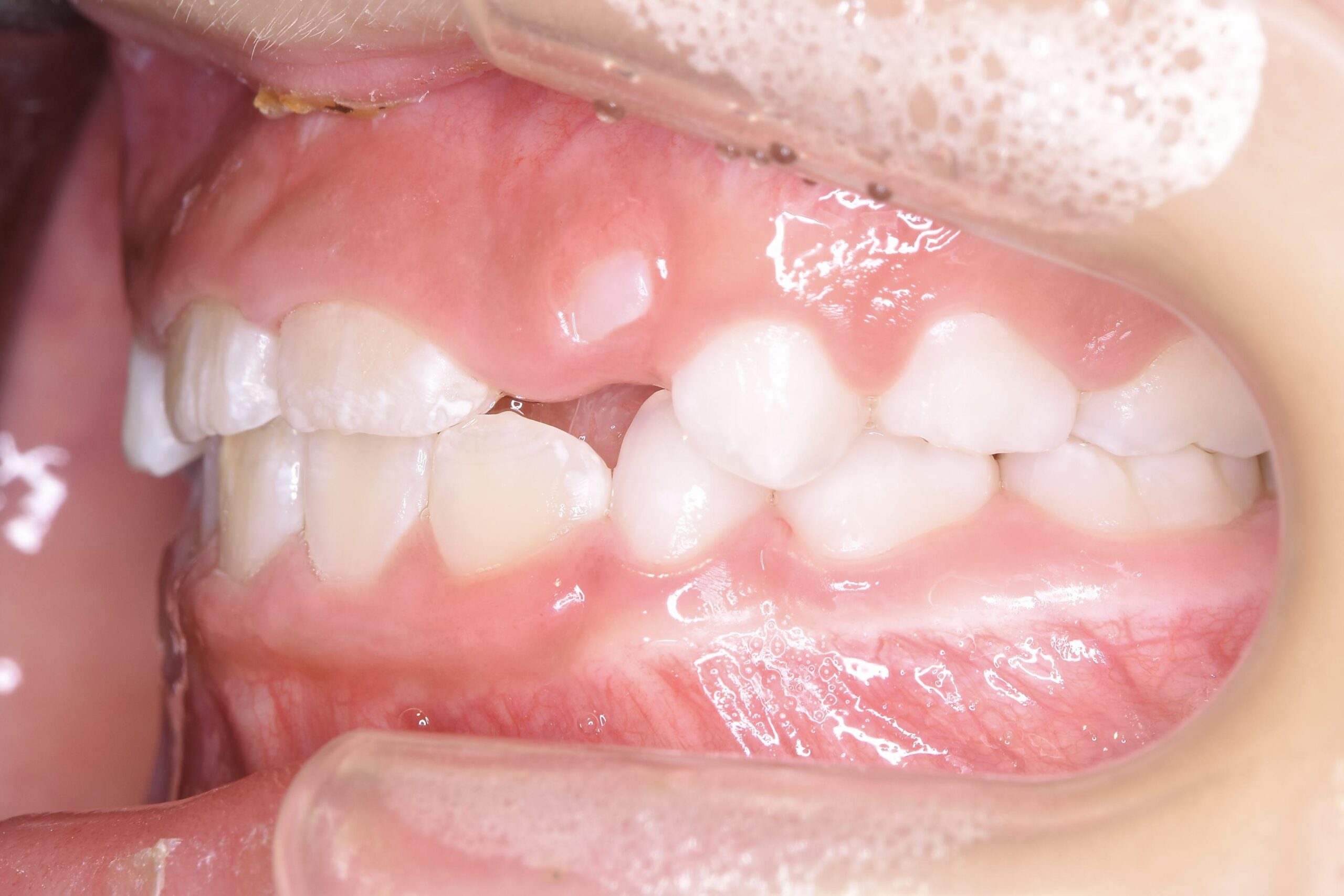
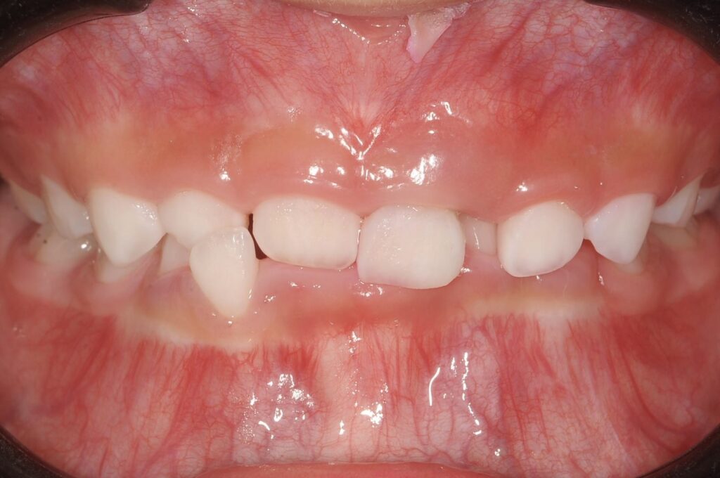
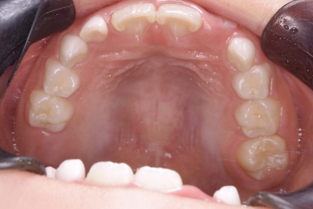
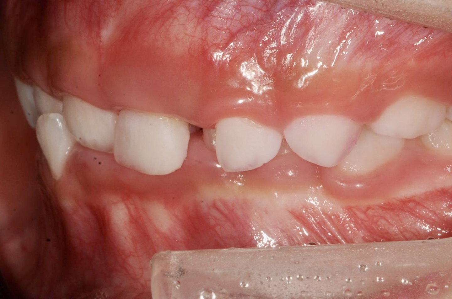
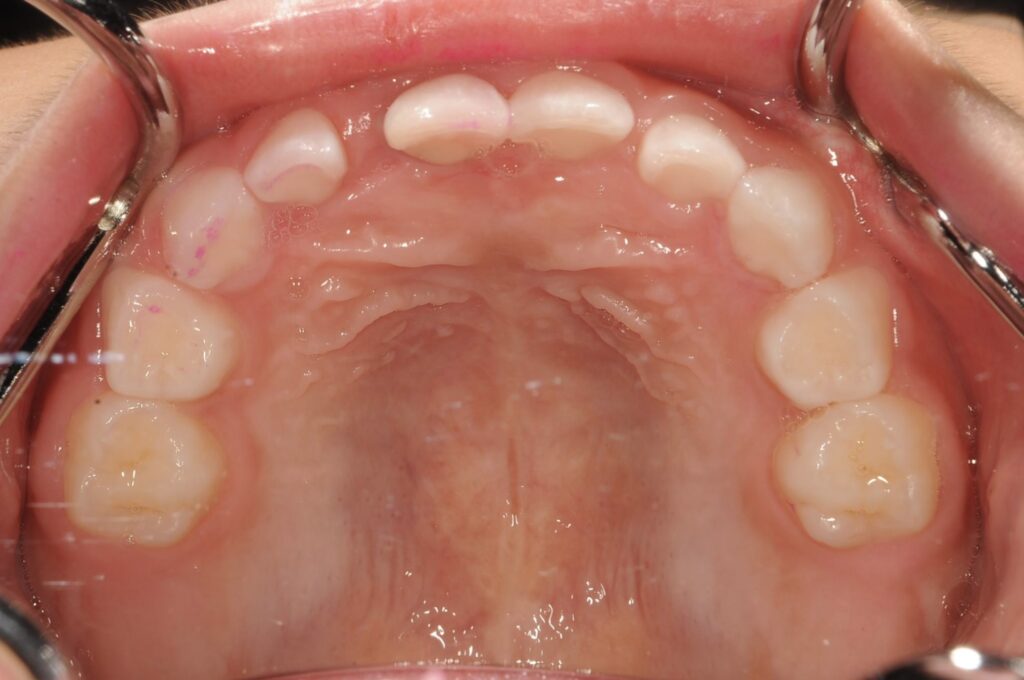
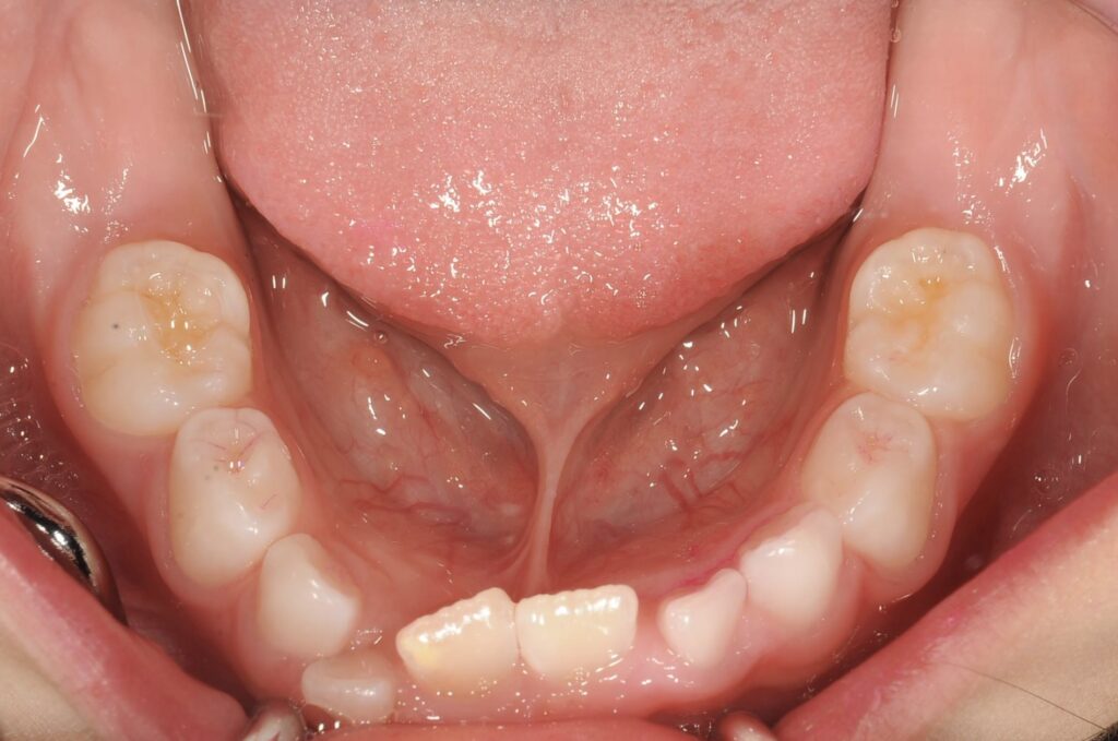
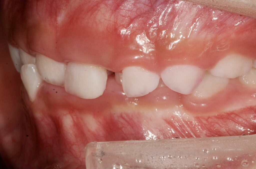
5歳 女児 小児矯正
歯並びの状態:
叢生(ガタガタ)
過蓋咬合(咬み合わせが深い)
使用装置:
小児矯正
10歳以下
非抜歯
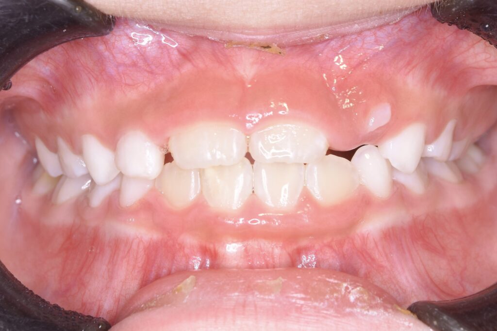
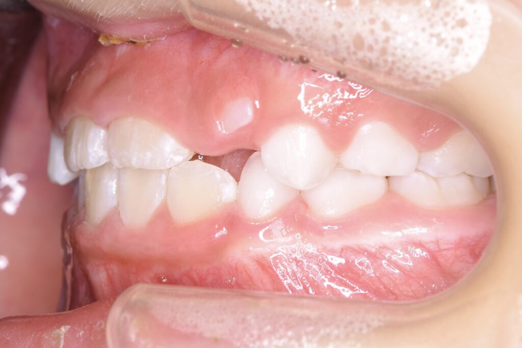
BEFORE
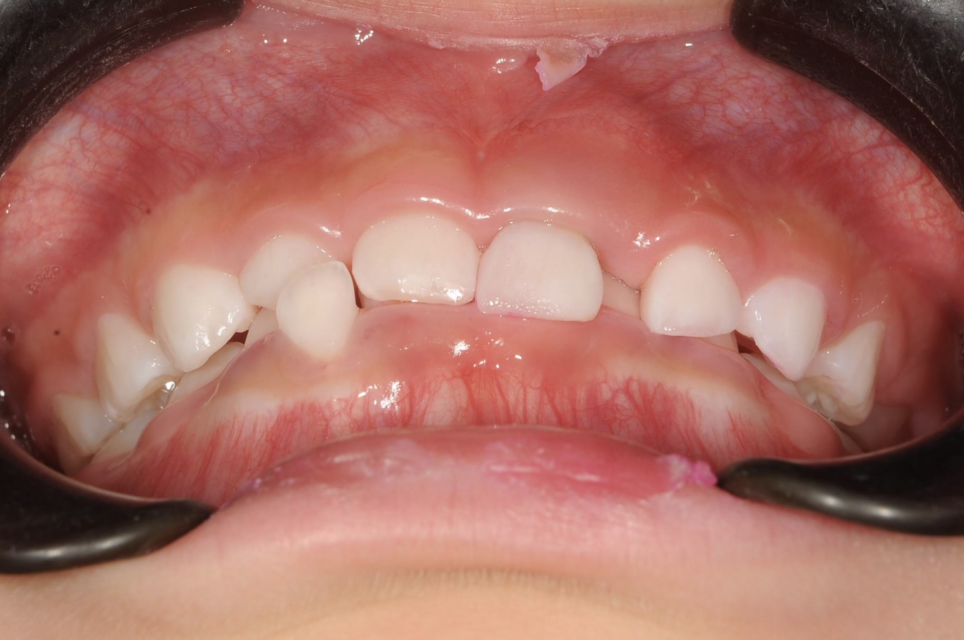
AFTER
主訴
右下の歯が飛び出ているので治したい。
診断名・主な症状
過蓋咬合
年齢
5歳
治療内容
上下の歯並びの幅を拡げつつ、前歯の関係を改善しました。
使用装置
急速拡大装置
リンガルアーチ
機能的矯正装置(マイオブレース)
抜歯部位
抜歯なし
治療期間
2年 + 後戻り止め期間(5年)
通院回数
25回
費用
50万円程度(税別)
26987
料金表はこちら
リスク・副作用
痛み、歯肉退縮、歯根吸収、抜歯に伴う出血や腫れが生じることがあります。