• 電話をかける電話をかける

    24時間受付 WEB予約24時間受付 WEB予約

    InstagramInstagram

  • 診療時間診療時間
    三重県伊勢市神田久志本町1328-3 1階三重県伊勢市神田久志本町1328-3 1階

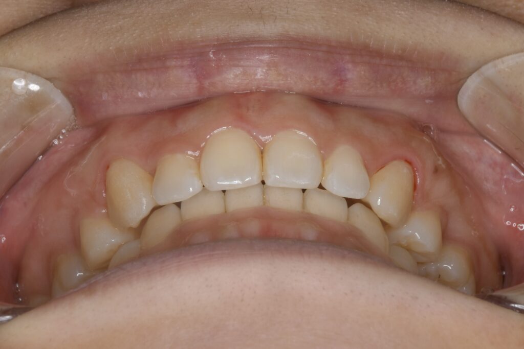
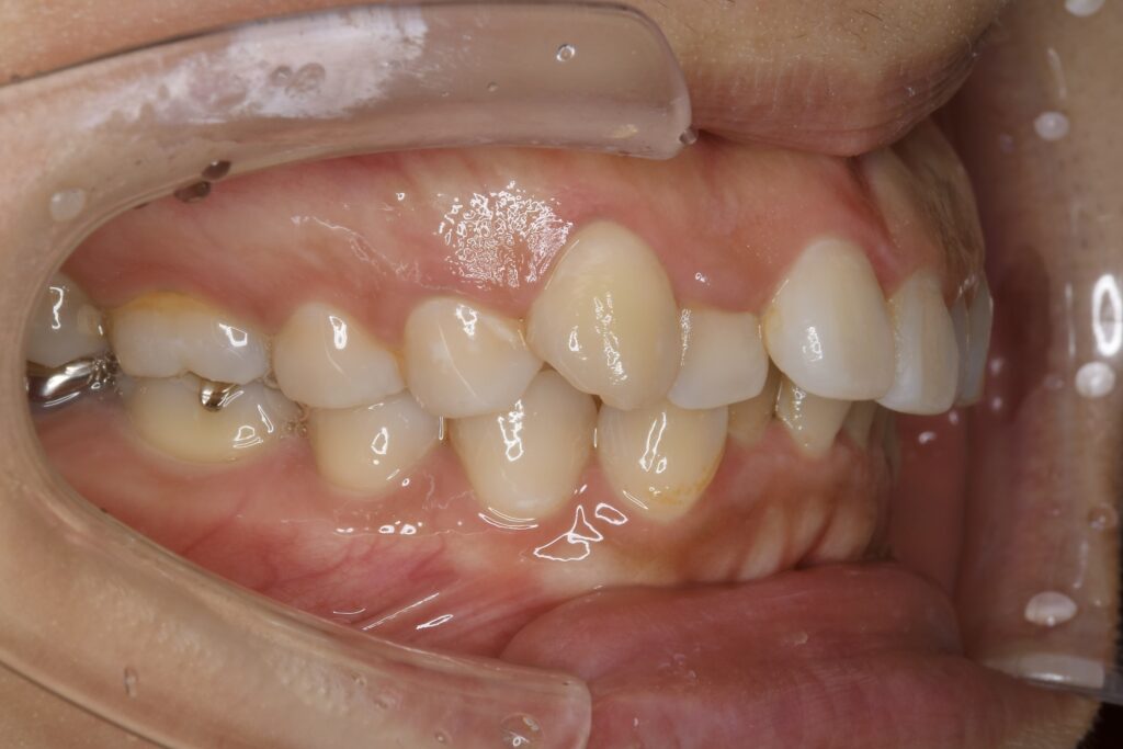
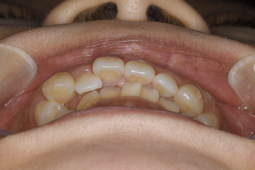
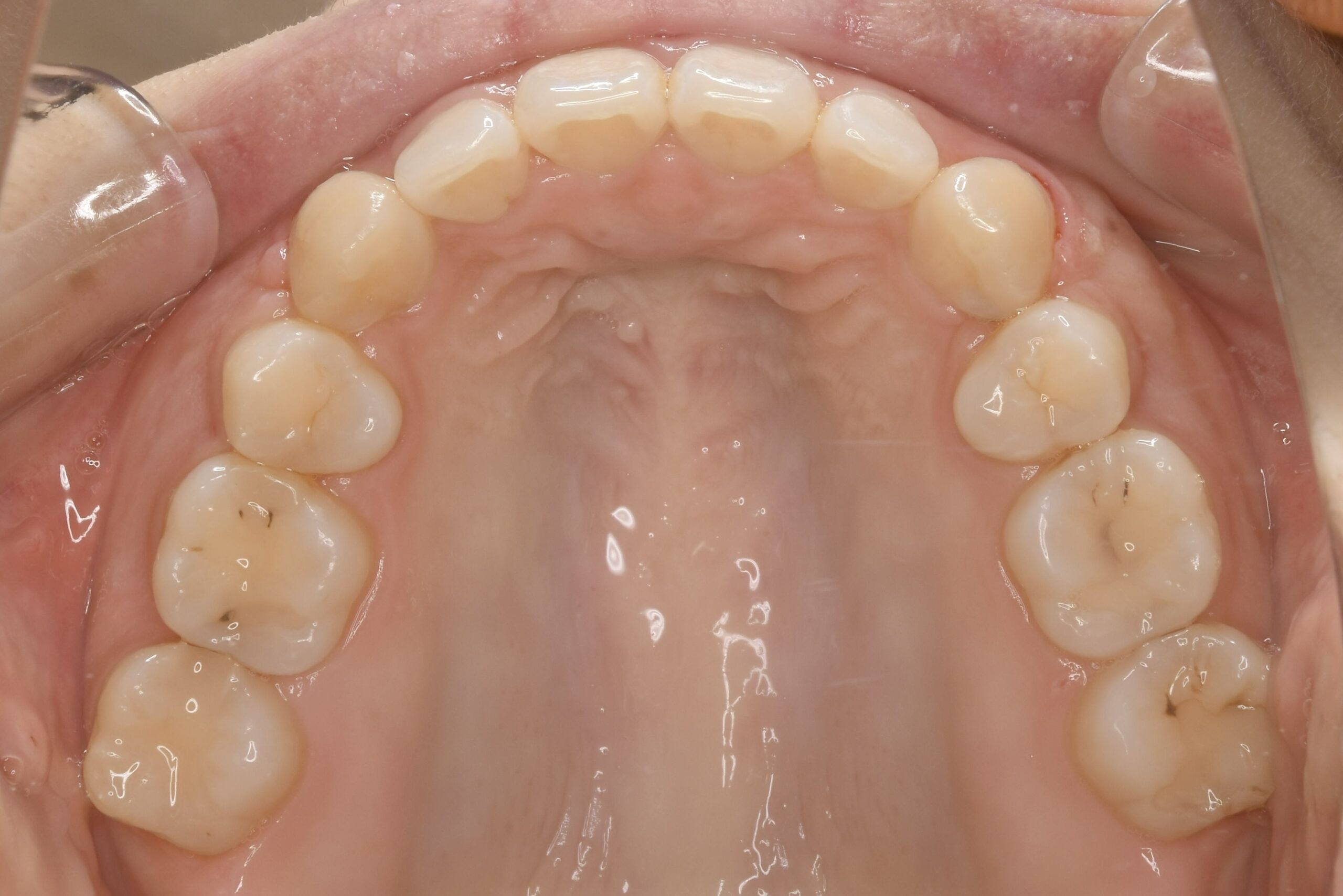
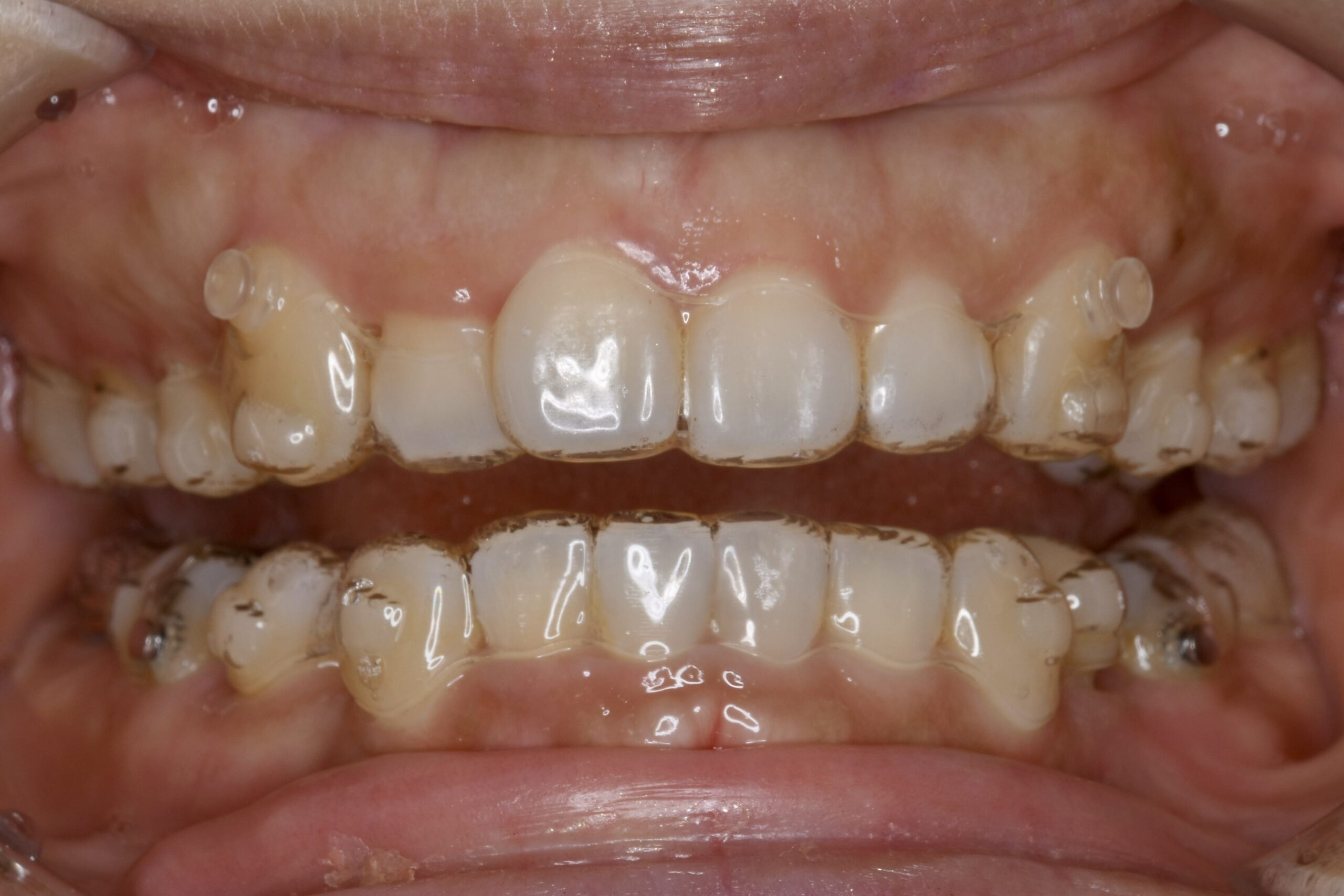
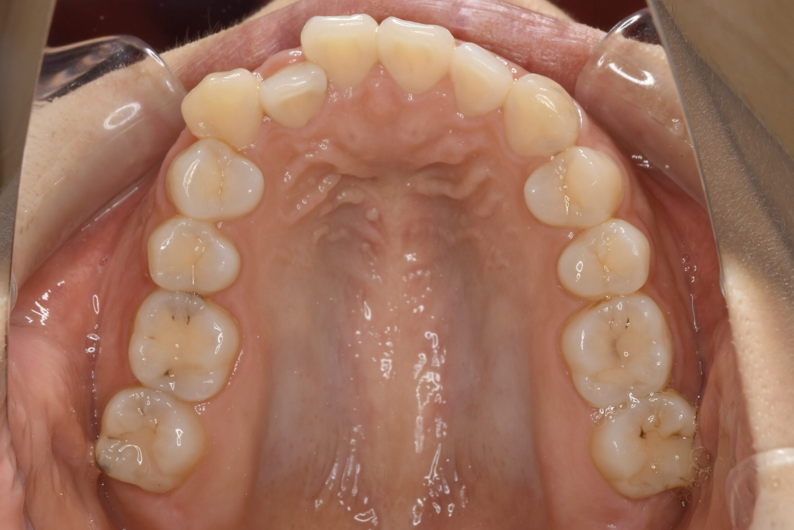
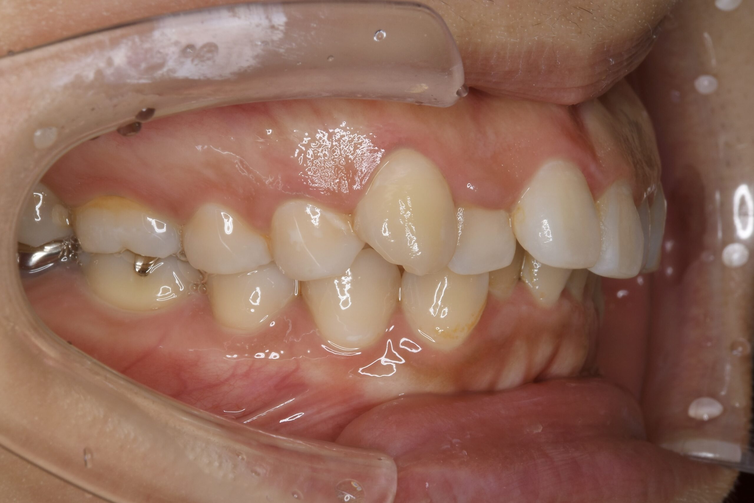
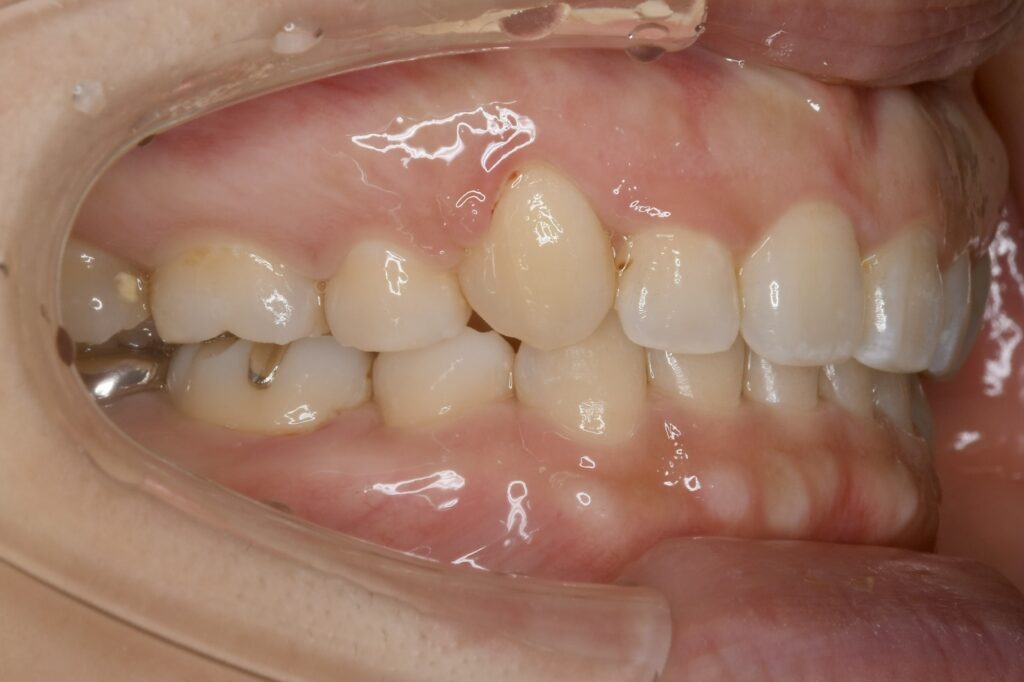
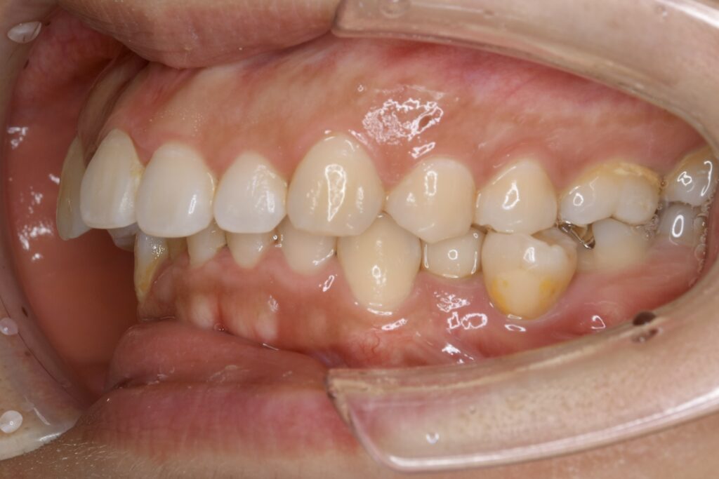
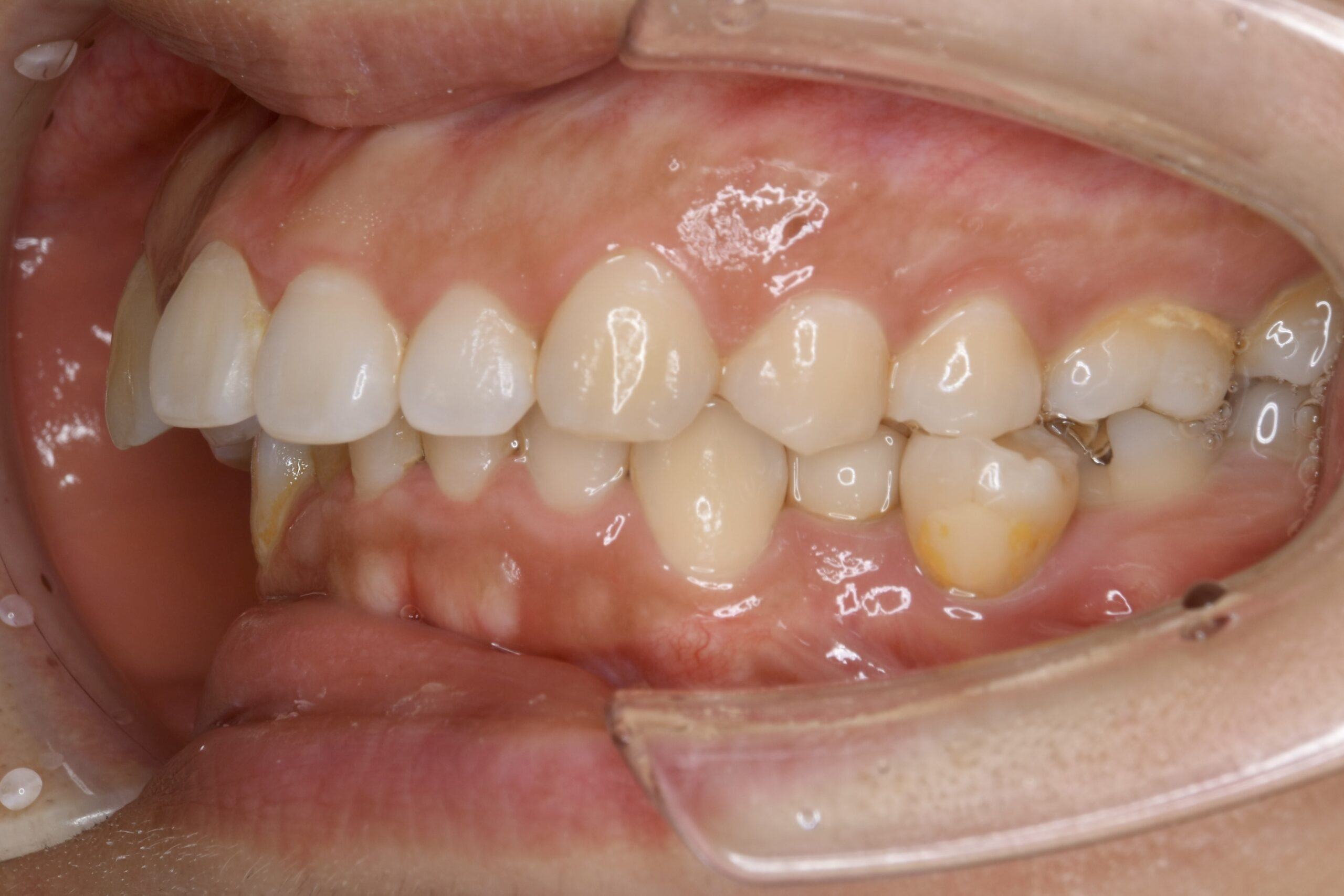
32歳 女性 治療期間:1年7ヶ月

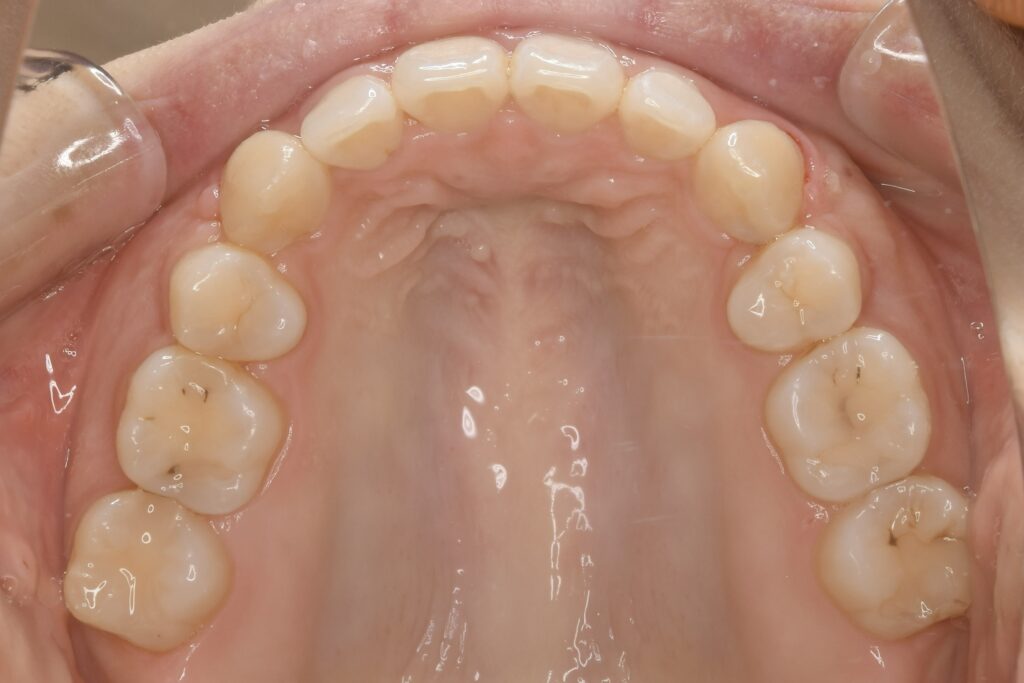
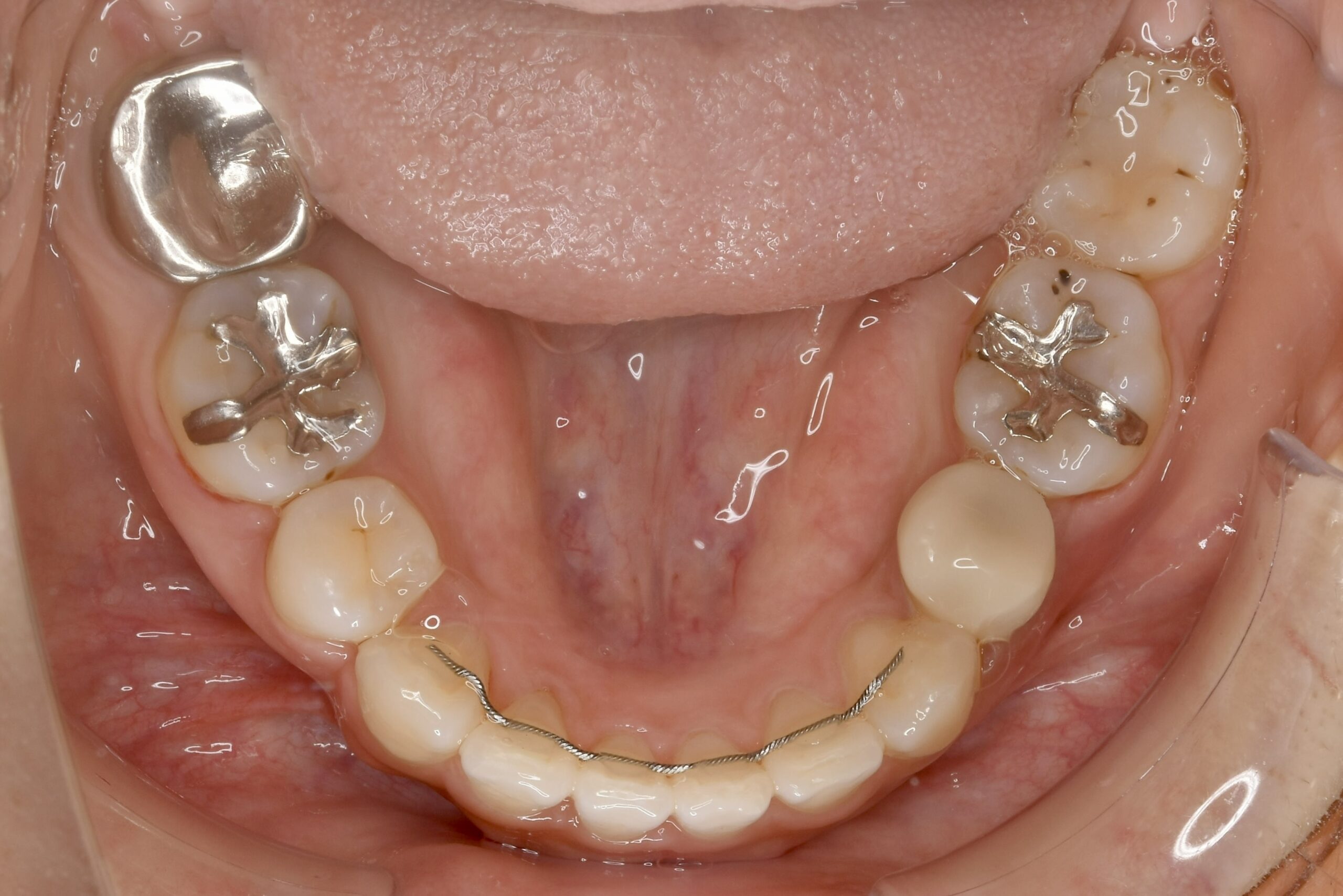
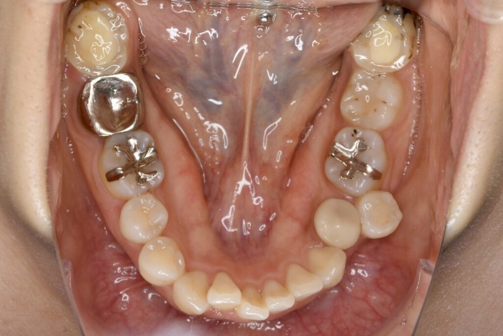
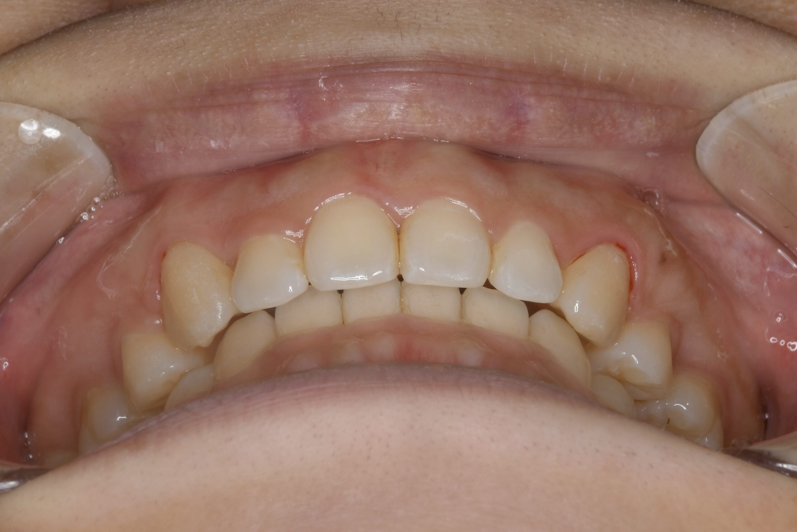
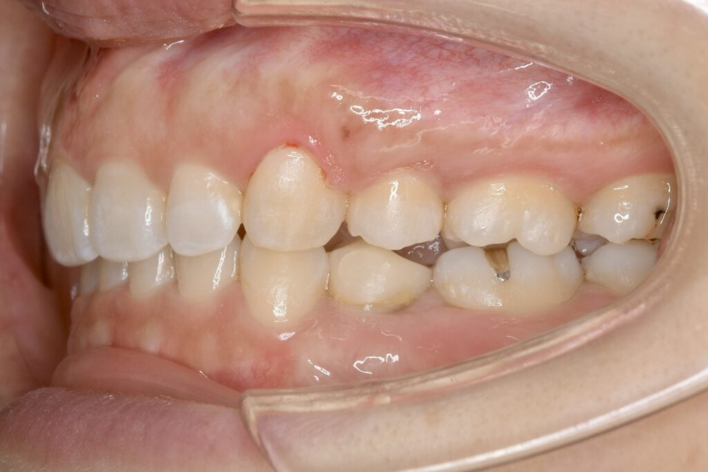
BEFORE
*
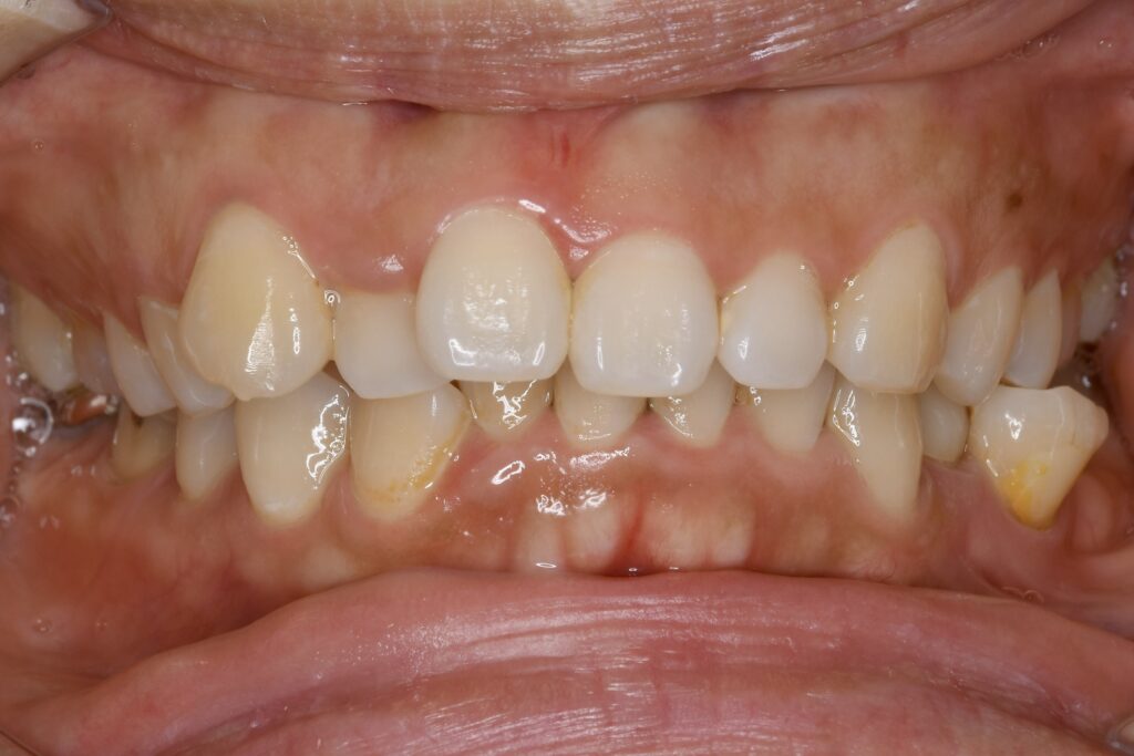
AFTER
  • マウスピース装着時

主訴 口元が出ていて気になる。
診断名・主な症状 叢生を伴う上顎前突
年齢 32歳
治療内容 上下とも歯を2本抜いて、上の前歯を後方に引きながら、でこぼこを治しました。
使用装置 マウスピース矯正装置(インビザライン)
抜歯部位 上 両側4番目
下 右側4番目、左側5番目
治療期間 1年7ヶ月
通院回数 13回
費用 91万円程度(税別)   270
リスク・副作用 痛み、歯肉退縮、歯根吸収、抜歯に伴う出血や腫れが生じることがあります。