伊勢市の矯正歯科・くらたやま矯正歯科の症例を紹介
CASE
症例集
はじめに
治療の流れ
矯正した方が良い理由<こども>
矯正した方が良い理由<おとな>
不正咬合の種類
矯正相談
よくある質問
院長・スタッフ紹介
クリニック紹介
診療案内
こどもの矯正
おとなの矯正
症例集
料金表
アクセス・診療時間
はじめに
治療の流れ
矯正した方が良い理由<こども>
矯正した方が良い理由<おとな>
不正咬合の種類
矯正相談
よくある質問
院長・スタッフ紹介
クリニック紹介
診療案内
こどもの矯正
おとなの矯正
症例集
料金表
アクセス・診療時間
MENU
CLOSE
メインメニュー
ホーム
院長・スタッフ紹介
クリニック紹介
料金表
アクセス・診療時間
採用情報
はじめに
治療の流れ
矯正した方が良い理由<こども>
矯正した方が良い理由<おとな>
不正咬合の種類
矯正相談
よくある質問
診療案内
こどもの矯正
おとなの矯正
症例集
〒516-0016
三重県伊勢市神田久志本町1328-3 1階
アクセスページへ
▲
9:00〜12:00/13:00〜19:00
休診日:火・日・祝
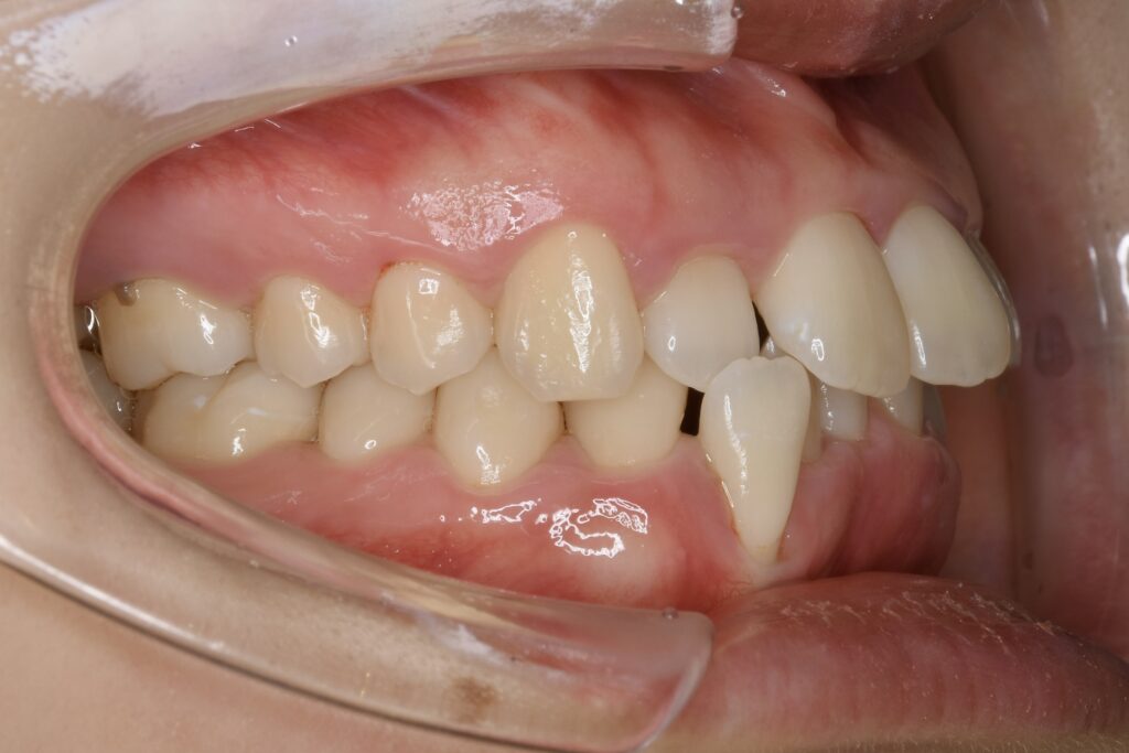
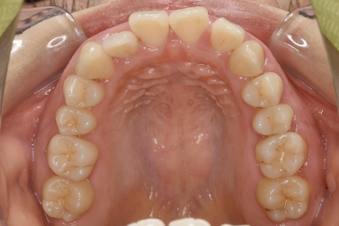
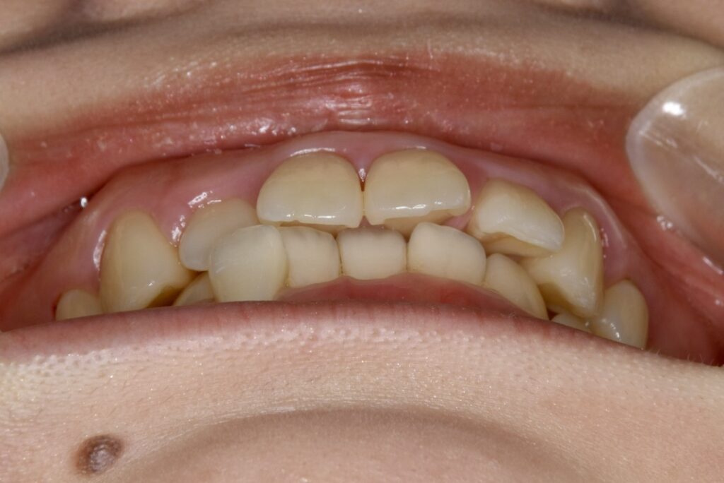
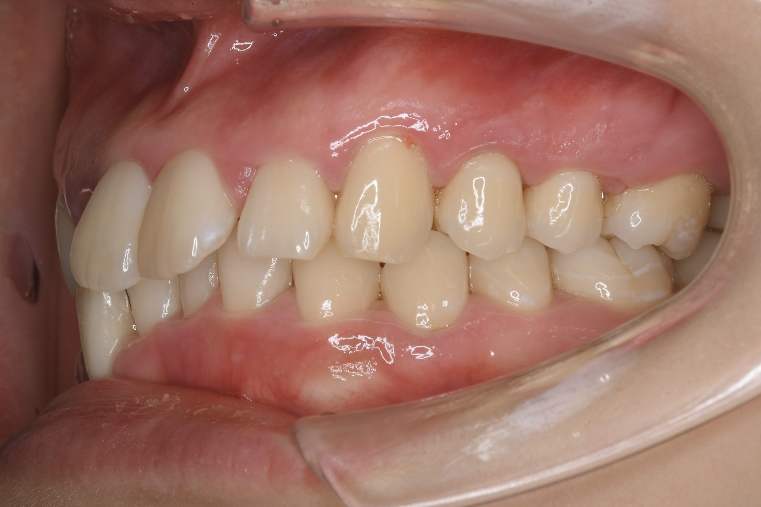
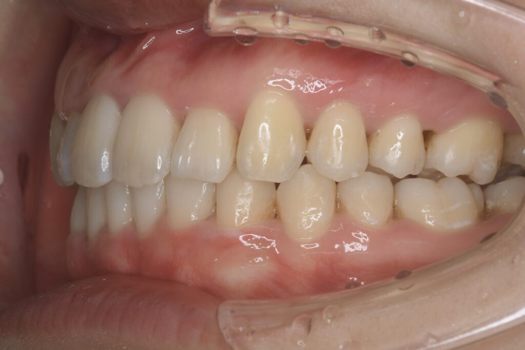
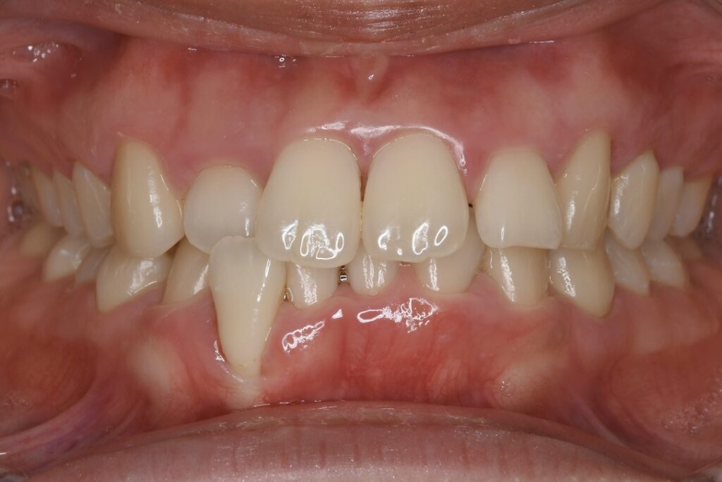
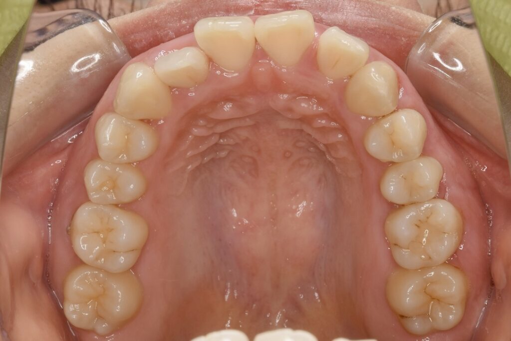
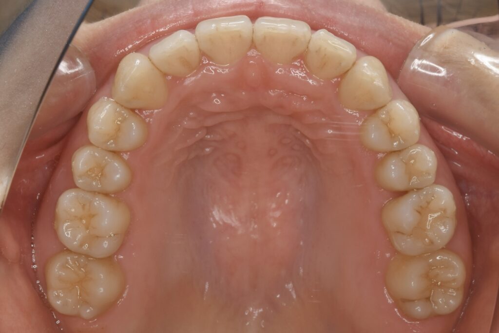
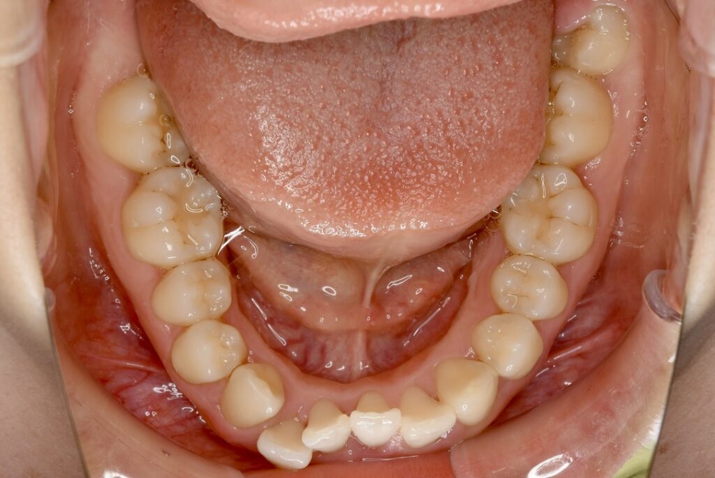
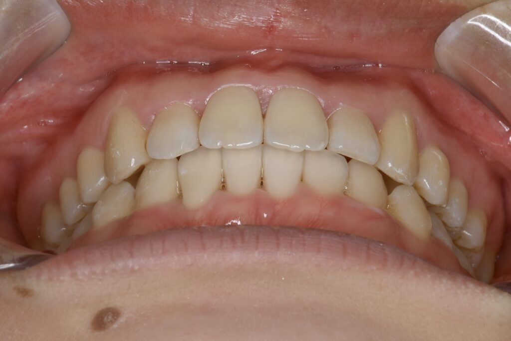
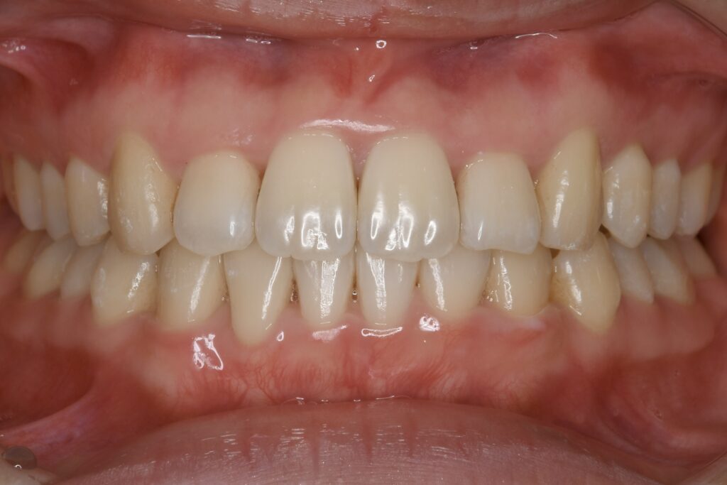
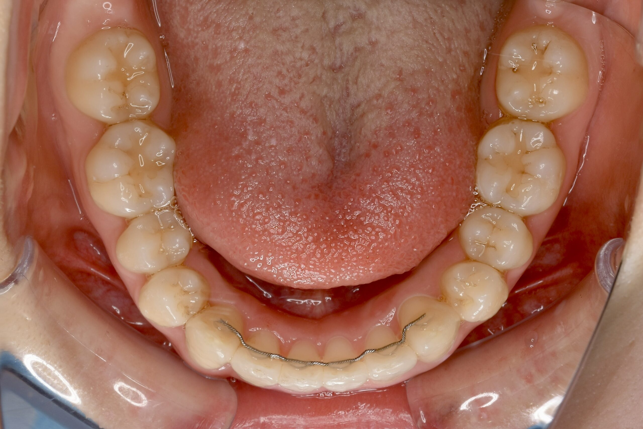
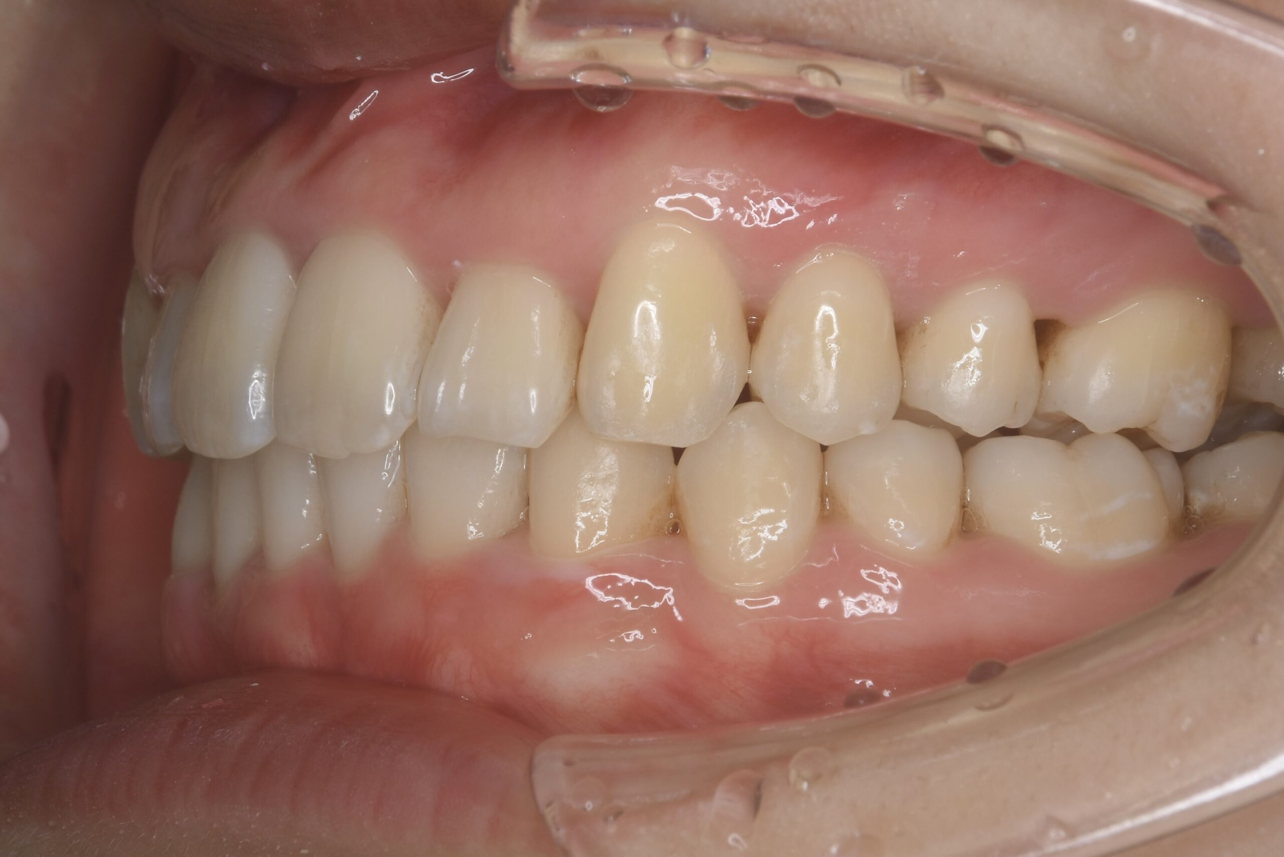
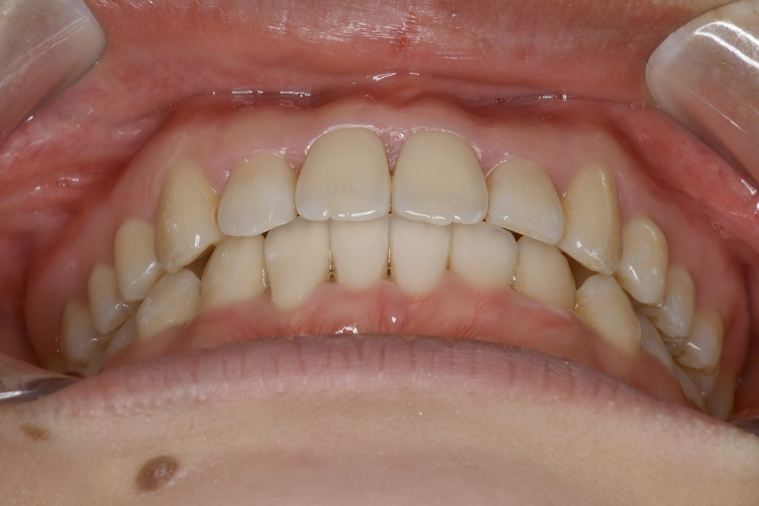
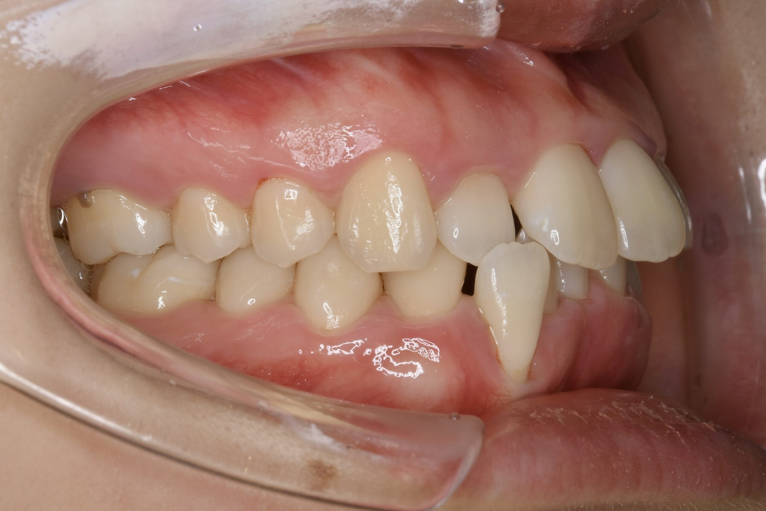
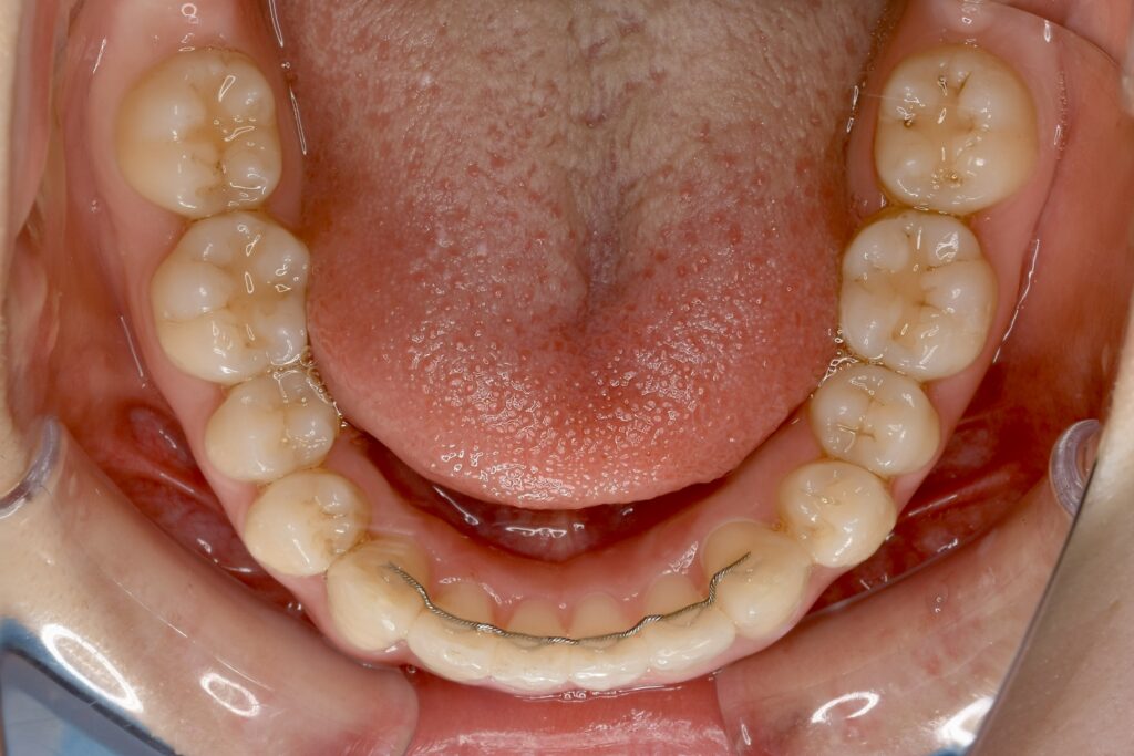
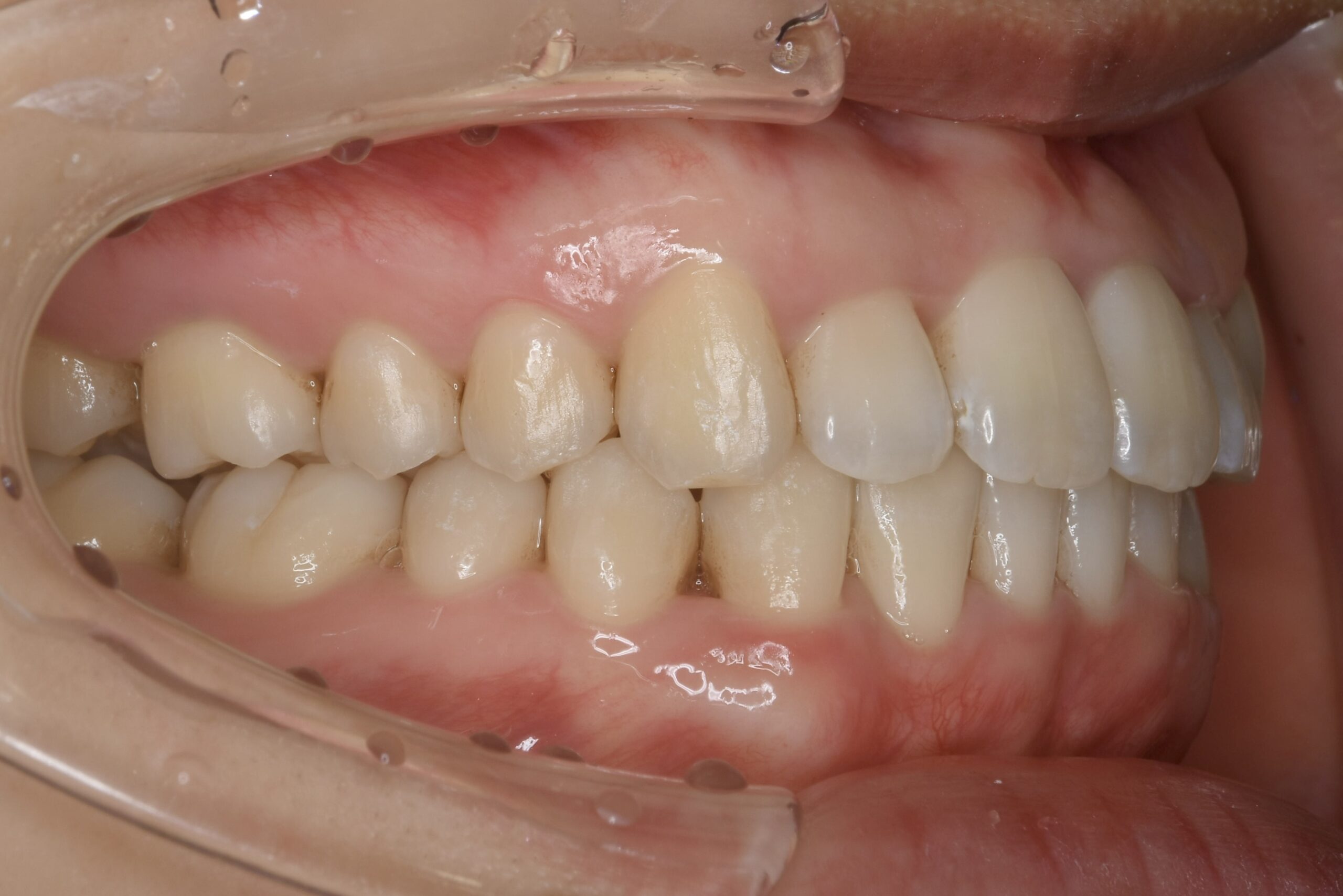
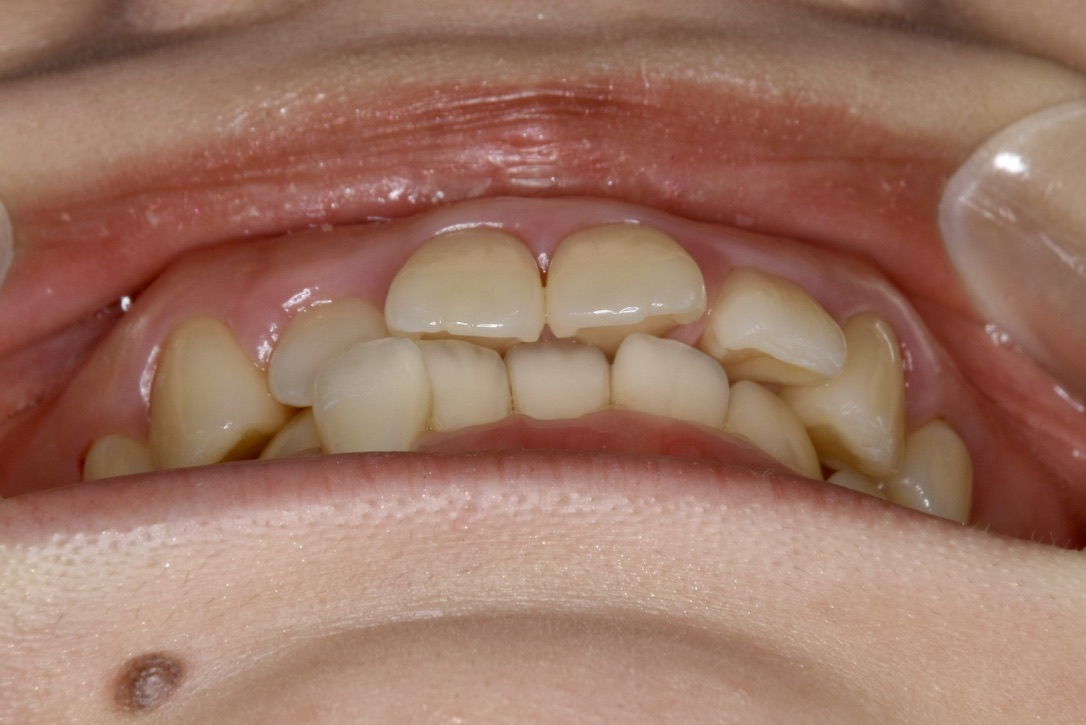
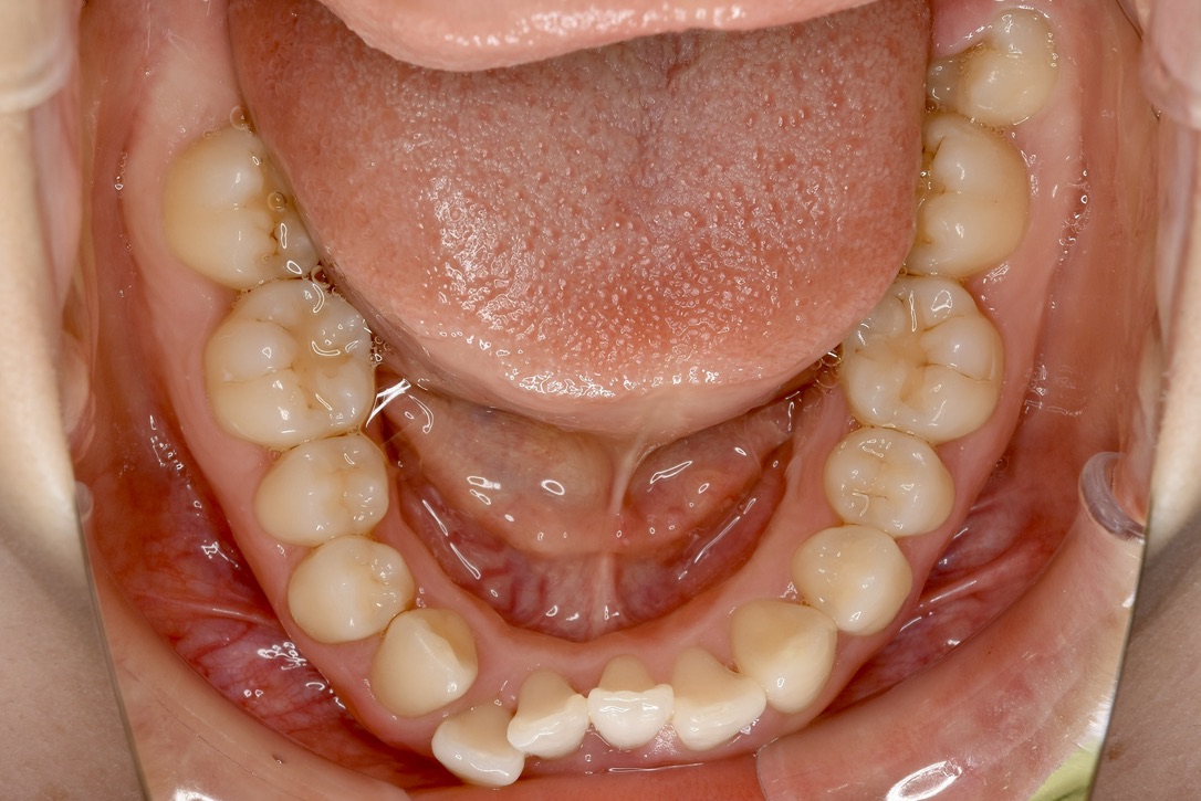
21歳 女性 治療期間:1年1ヶ月
歯並びの状態:
叢生(ガタガタ)
使用装置:
マウスピース矯正装置(インビザライン)
21〜30歳
非抜歯
BEFORE
AFTER
主訴
周りの人の歯並びが綺麗で自分の歯並びを治したくなってきた。
診断名・主な症状
叢生
年齢
21歳
治療内容
上下とも歯並びの横幅を広げながら、でこぼこを解消しました。
使用装置
マウスピース矯正(インビザライン)
抜歯部位
抜歯あり(智歯抜歯)
治療期間
1年1ヶ月
通院回数
10回
費用
85万円程度(税別)
料金表はこちら
リスク・副作用
痛み、歯肉退縮、歯根吸収、抜歯に伴う出血や腫れが生じることがあります。